Tibia Fx ForumCase 1
Presented by: TDECOSTE@medusa.unm.edu - Wed, 29 Nov 1995 17:33:08
I would appreciate treatment suggestions.My patient is a 30 year old with a very comminuted tibia fracture 6 weeks ago.It was grade 3B open. Initial treatment included irrigation, debridementClick images to enlarge.









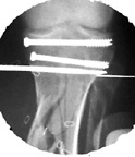
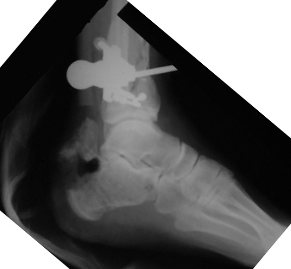
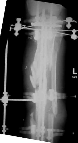
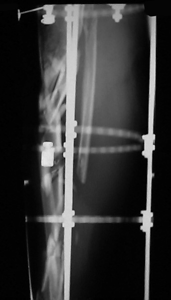
and a hybrid external fixator including femur, tibia and foot. Screwswere placed in the plateau and plafond and a free flap plus STSG. Theskin is ok but atrophic. The femoral pins were removed and knee motionstarted at 6 weeks. There is no sign of callus. There is one pin inthe one large fragment of the diaphysis. All the pieces are lined upreasonably well. The XF pins are ok. Suggestions? Thank you.
4 Month Followup - Click Here
9 Month Followup - Click Here
15 Month Followup - Click Here
Reply at: Orthopaedic Trauma Association forum
Discussion
Date: Thu, 14 Dec 1995 17:48:46From: hwb@eideti.com (Bill Burman)Of course what I have to say has to be taken with a mountain of salt as Ihave not practiced orthopaedics for 5 years.What I would do at this point is hike out the 5 mm diaphyseal pin. I can'tbelieve it is doing much. I would wait a few more weeks for that pin tractto properly clean itself and seal up. Hopefully it has not been infected.At that time I ought to have pretty good consolidation of themetaphyseal-epiphyseal fractures. I would remove from the ends of the boneany hardware which would block the placement of a reamed interlockingtibial nail. Large reduction forceps and possibly strategically placedsteinman pins would be used to protect against the possibilty ofmetaphyseal-epiphyseal refracture during nail placement. The nail needs tobe carefully started as high as possible and more lateral than usualbecause of a valgus tendency for nailings of proximal tibia fxs.If at this time, I did not see much in the way of diaphyseal callus thenprior to nail placement, I would try to do a closed intramedullary iliacbone grafting with chest tube ala Chapman, JBJS 62A 1004 1980. I realizethis technique was meant for segmental defects of the femur but this mightbe an application for it as well. If I couldn't get much graft in this way,I would put it in posterolateral - if that did not jeopardize the free flapin some way.*****************************From: EDCCYANG@aol.comDate: Thu, 14 Dec 1995 22:16:30 -0500You are to be commended for what you've done so far. It sounds like thetibia is well aligned and the soft tissues are healed. Now you just have toget the bones healed.I have extensive experience with the hybrid exfix but never have I seen atibia this shattered. (or maybe once)Now I would try the exogen unit, if you have not done so already. This isthe ultrasound device which has been working great for us! Their telephone# is 1-800-836-0849.I would hold him in the external fixator as long as the pins are clean.Hopefully, some of the fractures will heal and you can deal with only one ortwo nonunion sites. Consider plating the fibula and getting the fibulahealed, either simultaneously with a fib-pro-tib operation, and /orposterolateral bone graft. I have done all of the above to get tibiae toheal.Edward Yang, MDElmhurst HospitalMount Sinai****************Date: Fri, 15 Dec 1995 10:21From: Jeffrey Anglen Bill, for a guy who hasn't practiced clinically for 5 years, you seem tohave a pretty good grip on treating tibia fractures. The only thing I woulddisagree with is conversion to an intramedullary nail after this period oftime. I would be too afraid of intramedullary infection from a pin site,even if the pin sites looked OK. I don't know if the risk is the same withhybrid fixators as it is with traditional half-pin fixators - that might makean interesting study - perhaps someone with more experience withhybrid fixators has a better feel for the relative risk between pin andwire sites.I would continue with hybrid fixation, a little weightbearing and earlybone graft of the diaphysis posterolaterally. I have no experience withthe accordion technique.How about you guys at Harborview? Any thoughts on this tibiafracture?****************Date: Sat, 16 Dec 1995 11:45:10 +0530 (IST)From: "Dr.ML Parihar" the accordion manouevre does not work. to my knowledge this is nowuniversally accepted, especially in the treatment of non-unions. anyonedisagree?for a comminuted fracture of the tibia why not consider atibia-pro-fibula grafting as described by harmon. while on the subject ofbone grafting i would like to hear fromsurgeons who have used bone marrowinjections for the treatment of nonunion or delayed union.how much to be aspirated? from where?where do you inject? into the fracture site or in a cuff fashion aroundthe fracture site? Dr. Mangal Parihar**************************Date: Sat, 16 Dec 95 22:04:09 +0500From: "Alexander N. Chelnokov" Hi> I have not received any further comments/suggestions on the comminuted> tibia case since posting the images of the xrays. There has been> considerable useful discussion of posting images to be easily viewed> in various manners.Sorry but I missed when you pointed the name and location of the image so plsrepeat...> I did institute the "accordion" technique of .25 mm compression at> 6 am and noon; then .25 distraction at 6 pm and midnite.We use another schedule - 2 weeks of distraction 0.5mm/day and then2 weeks of compression 1 mm/day...> I also started 10 pound weight bearing.I do not limit weigth-bearing. More exactly, patient should load his legas he can. In case of extra-articular fractures of course.> I'd like to bone graft it but I'm not sure> where to put the bone graft because there are so many pieces.Do think about marginal corticotomy and slow tension of fragments to bridgegaps?*************************Date: Sun, 17 Dec 95 21:45:18 -0600From: "Andrew H. Schmidt" After seeing the images, I congratulate Tom on his management of the casethus far. Our general philosophy at Hennepin County is that once externalfixation is chosen as the treatment, it should be continued to union. Whenpossible, we will convert to a nail within the first couple of weeks, butnot beyond this because of the concern for infection.In my experience with either plateau or plafond fractures plus diaphysealextension, the metaphyseal fractures heal and it is the diaphysealcomponent that requires grafting. I have several times removed the hybridfixator, curretted the pin sites, performed an open autogenous grafting,and reapplied a new half-plane unilateral fixator to the diaphysis. Ofcourse, if the hybrid frame was still needed I would not replace it.However, I find the circular hybrid frames to be such a hassle to take careof, and the patients dislike them so much, that if the juxta-articularfractures are healed, I go ahead and convert to a simpler fixator. So, that remains my two-cents worth, which I thought I'd post to the wholegroup this time since this case has sparked so much interest.AndyAndrew H. Schmidt, M.D.Staff Physician, Hennepin County Medical CenterClinical Instructor, University of Minnesota******************************Date: Tue, 19 Dec 1995 12:31:57 -0500From: hwb@eideti.com (Bill Burman) I see from the discussion that perhaps I am too aggressive and need tolearn how to relax.I am learning some new things here. Dr. Ed Yang made a plug for ultrasoundstimulation - Exogen. Here is the abstract of an article published in theJ Bone Joint Surg Am 1994 Jan;76(1):26-34 by the San Antonio group(Heckman, Ryaby, McCabe J, Frey JJ, Kilcoyne RF). The study was paid forby Exogen.TI - "Acceleration of tibial fracture-healing by non-invasive, low-intensity pulsed ultrasound."AB - "Sixty-seven closed or grade-I open fractures of the tibial shaft were examined in a prospective, randomized, double-blind evaluation of use of a new ultrasound stimulating device as an adjunct to conventional treatment with a cast. Thirty-three fractures were treated with the active device and thirty-four, with a placebo control device. At the end of the treatment, there was a statistically significant decrease in the time to clinical healing (86 +/- 5.8 days in the active-treatment group compared with 114 +/- 10.4 days in the control group) (p = 0.01) and also a significant decrease in the time to over-all (clinical and radiographic) healing (96 +/- 4.9 days in the active-treatment group compared with 154 +/- 13.7 days in the control group) (p = 0.0001). The patients' compliance with the use of the device was excellent, and there were no serious complications related to its use. This study confirms earlier animal and clinical studies that demonstrated the efficacy of low-intensity ultrasound stimulation in the acceleration of the normal fracture-repair process."Also, Dr. Parihar mentions bone marrow injection. In CORR 313 8-18, 1995,Dr. John Conolly of Orlando, FL writes :TI - "Injectable Bone Marrow Preparations to Stimulate Osteogenic Repair."AB - "The great versatility of bone marrow transplants based on stem cellactivity has been demonstrated successfully for a variety of previouslyuntreatable hemopoetic conditions. Autologous bone marrow delivered bypercutaneous injection or by a direct transplant as a composite graft alsohas proven effective for osteogenic stimulation in a series of 100 skeletalhealing problems, including delayed unions and nonunions of fractures,arthrodeses, and bone defects. The efficiency of marrow to form bone can beincreased by a number of methods, including differential centrifugation andcomposite grafts of marrow with demineralized bone matrix and othercarriers or stimulatory factors."Dr. Connolly concludes his article by saying :"Marrow and marrow composite grafts, in this author's experience during thepast 8 years, essentially have eliminated the need for open harvesting anddelivery of autologous bone grafts to stimulate osteogenic repair ofdelayed unions, nonunions, arthrodeses and bone defects."Any references for the Ilizarov "accordion maneuver"?***************************Date: Tue, 19 Dec 1995 14:11:27From: hwb@eideti.com (Bill Burman)I am transmitting another opinion received via the HWB BBS fromDr. Joldas KuldjanovVisiting Professor at Detroit Medical CenterProfessor of Orthopedics & TraumaUniversity of Tashkent, UzbekistanRe: comminuted tibia fxThus far, there appears to be no sign healing because of local factors, thehigh energy of trauma, stripping of periosteum, soft tissue damage and poorcontact of bone. I would have initially fixed the fracture with a four ringIlizarov fixator. 2 rings in metaphyseal zones (distal and proximal) and 2rings in the diaphyseal region for the purpose of interfragmentarycompression.The location of wound and soft tissue damage is unknown to me. It is mostlikely anteromedial ?At this point, I would perform open reduction and internal fixation offibula with a long semitubular plate. I would add 2 more rings to thefixator to bring about reduction and interfrag compression of the tibialcomminution. The type of fixator is immaterial but interfrag compressionwould be accomplished by olive wires. Also, I would add bone graft andplacement of this would be in accordance with the location of soft tissuedamage. Weight bearing should be as tolerated and there should be cautionabout the possibity of equinus. I am not too worried about pin tractinfection. These smaller pins can be easily replaced. I would use theaccordion technique in the event of atrophic non-union.Best regards and best wishes with the management of this very difficult case.***********************Date: Tue, 19 Dec 1995 22:03:13 -0500From: OTS1@aol.com RoyI am somewhat amazed at all this discussion, but find it fascinating. Iwould treat this guy to completion with the circular frame until thearticular and metaphyseal components healed. Unfortunately, you would get amal-/non-union at the diaphysis which would preclude the use of a later nail,unless you took it all down. If you needed to do that I would then just platehim with a long 18 - 22 hole 4.5 narrow DC plate on the medial side. Thiswould obviate the risk for infection. Furthermore you could graft at the timeof plating. So what's the big deal? Routine case,... right?Anyway, Exogen is too new to try, and Connally's study is severely flawed,too many variables, no controls, hypertrophic nonunions rodded and thenmarrow injected, nonunion healed. Don't you think it would have healedwithout the injection? Of course it would have! Anyway, I like this format.Anyone going to Russia?***************************From: "Alexander N. Chelnokov" Date: Wed, 20 Dec 95 06:51:16 +0500Hi> Also, Dr. Parihar mentions bone marrow injection. In CORR 313 8-18, 1995,> Dr. Connolly concludes his article by saying :>> past 8 years, essentially have eliminated the need for open harvesting and> delivery of autologous bone grafts to stimulate osteogenic repair of> delayed unions, nonunions, arthrodeses and bone defects.";) Told like about Ilizarov.> Any references for the Ilizarov "accordion maneuver"?I used it last years... It really works.But for the case maybe better would be to add partial corticotomies andperform closed slow "bridging" by the fragments.About reference... This must be accessible for you:TI: Clinical application of the tension-stress effect for limb lengthening.AU: Ilizarov-GAAD: Kurgan All-Union Center for Restorative Traumatology andOrthopaedics, USSR.SO: Clin-Orthop. 1990 Jan(250): 8-26AB: For 40 years, the author has been developing a system oforthopedics, traumatology, and limb lengthening using a circulartransfixion-wire external skeletal fixator, often in combination withbiomechanic methods of stimulating the formation of new osseous tissuewithin a widening osteotomy distraction site. The factors important forneoosteogenesis after osteotomy include: maximum preservation ofextraosseous and medullary blood supply; stable external fixation; adelay prior to distraction; a distraction rate of 1 mm per day infrequent small steps; a period of stable neutral fixation afterlengthening; and physiologic use of the elongating limb. For asuccessful fixator application, the apparatus must be applied withconsideration given to the number, size, and location of the rings, theplacement and tension on the wires, the technique of wire insertion, theeffect of soft-tissue transfixion on limb use, and the prevention ofbone and joint deformities caused by countertension in soft tissues.Clinical application of the author's techniques permits stature increasein certain forms of dwarfism, correction of deformities and limb-lengthinequalities, and stump elongation. For many of these applications,motorized distraction can provide continuous limb lengthening while theapparatus is on the patient. Best regards, Alexander N. ChelnokovUral Scientific Institute of Traumatology and Orthopaedicsstr.Bankovsky, 7. Ekaterinburg 620014 Russia********************Date: Thu, 21 Dec 1995 12:46:14 +0530 (IST)From: "Dr.ML Parihar" On Wed, 20 Dec 1995, Alexander N. Chelnokov wrote:> > Any references for the Ilizarov "accordion maneuver"?>> I used it last years... It really works.> TI: Clinical application of the tension-stress effect for limb lengthening.> AU: Ilizarov-GAfor a start lets try to define what we mean by the 'accordion maneuver'.i have heard it used to talk about alternating cycles of compressiondistraction in the same day, compression for a preiod of 1 or more weeksfollowed immediately by distraction for an equal duration; and also forcompression followed by a rest period and then a period of distraction.though the articles from kurgan talk about successes with the 'accordionmaneuver', most other surgeons that i have had occasion to meet eitherpersonally or at meetings have not found it to be a useful maneuver inatrophic nonunions which is what it 's use is advocated for.i personally have not had any experience with it. Dr. Mangal Parihar************************Date: Sat, 23 Dec 95 10:52:54 CSTFrom: kenneth.d.johnson@mcmail.vanderbilt.eduThis message was originally written on Dec.18, who knows where it has been?Congratulations on a job well done to date. Hopefully the leg is straight and clean, and the proximal metaphysis fracture is now healed. Now comes the time to think! I agree with others, a nail would not be advisable at present. Perhaps the ultrasound would help, it certainly shouldn't hurt! No experience here. Personally, I think the fixator and posterolateral bone grafting is your best bet. With the proximal fracture you would have to arthrodese the proximal tib-fib joint. I can't appreciate the x-ray well enough to see how far down the bone graft would need to go but you could go as far as the distal tib-fib joint. Perhaps within 6-8 weeks of grafting you could consider removing the fixator and using a cast. Also if the amount of graft is a question or better a problem, one could consider the use of Colagraft to augment the usual autogenous cancellous bone graft.I can say though that I am glad that it is you and not me!KDJ ***********From: hwb@eideti.com (Bill Burman)Date: 12/21/95 6:58 PMAlexander,Maybe I am missing something but I have re-read :>TI: Clinical application of the tension-stress effect for limb lengthening.>AU: Ilizarov-GA>AD: Kurgan All-Union Center for Restorative Traumatology and>Orthopaedics, USSR.>SO: Clin-Orthop. 1990 Jan(250): 8-26and cannot find specific reference to the efficacy of the "accordion"technique for atrophic nonunion. Are there any series in the Russianliterature which compare the "accordion" technique to controls or othertreatment methods of nonunion ?************************Date: Wed, 20 Dec 1995 18:34:33 -0700 (MST)From: TDECOSTE@medusa.unm.eduI'd like to get Dr. Kuldjanov's email address but can't decipherit from the message I received.His suggestion for additional diaphyseal wires and rings is mostappealing to me but I'm not sure which pieces of diaphysealcomminution would be appropriate.Tom DeCoster. Merry Christmas****************************Date: Sat, 23 Dec 1995From: hwb@eideti.com (Bill Burman)In reply to Dr. Tom Decoster's request for more specifics, Dr. Joldas Kuldjanov from Detroit Medical Center has faxed to the HWB Foundation a diagram of a preoperative plan illustrating the placement of additional rings and olive wires for posting with the discussion of this case at :http://www.hwbf.org/hwb/
Click images to enlarge.





*********************Date: Sun, 24 Dec 95 18:42:09 +0500From: "Alexander N. Chelnokov" Hi> > > Any references for the Ilizarov "accordion maneuver"?> > I used it last years... It really works.> > TI: Clinical application of the tension-stress effect for limb lengthening.> > AU: Ilizarov-GA>> for a start lets try to define what we mean by the 'accordion maneuver'.> i have heard it used to talk about alternating cycles of compression> distraction in the same day, compression for a preiod of 1 or more weeks> followed immediately by distraction for an equal duration; and also for> compression followed by a rest period and then a period of distraction.I mean rather different thing - a cycle of distraction 0.25-0.5 mm/day, 10-15days and then compression 10-15 days, 0.5-1 mm/day.> though the articles from kurgan talk about successes with the 'accordion> maneuver', most other surgeons that i have had occasion to meet either> personally or at meetings have not found it to be a useful maneuver in> atrophic nonunions which is what it 's use is advocated for.For ^^^^^^^^^^^^^^^^^^ it is not indicated.Generally, we use this in fractures where we expect union within 2-4 months buthaven't. If atrophic nonunion or union at limited zone occurs - there are some ways developed in Kurgan Institute to increase bone diameter and/or bridge the gap.> Maybe I am missing something but I have re-read :> >TI: Clinical application of the tension-stress effect for limb lengthening.> >AU: Ilizarov-GA> and cannot find specific reference to the efficacy of the "accordion"This approach anyway is based on "tension-stress effect" which must bedescribed at that paper...> Are there any series in the Russian> literature which compare the "accordion" technique to controls or other> treatment methods of nonunion ?I don't remember such narrow focused papers. I have to explore this.--- Best regards, Alexander N. ChelnokovUral Scientific Institute of Traumatology and Orthopaedicsstr.Bankovsky, 7. Ekaterinburg 620014 Russia *************************From: Benjamin Frederick Bohren Date: Thu, 4 Jan 1996 15:27:04 -0500Here is the message:In response for Dr. James Kellam,First comment, if major muscle damage at time of injury would seriously haveconsidered amputation. this is an ideal case for the limb salvage study ofdoctor M. Bosse.since salavage has commenced, would wait 8-12 weeks and do a posterior lateralbone-graft using ONLY autogenous bone graft. At the first evidence of infectionor failure of grafting would suggest to patient that a below knee amputationwould be the most expedient way to a functional outcome.Love Jim****************From: BOBMOL@aol.com (Bob Molinari)Date: Fri, 5 Jan 1996 23:27:52 -0500"I would recommend grafting the tibia with either allograft banked bone, abone graft substitute, or autogenous bone graft from the iliac crestprior to using the ultrasound(exogen). Healing is going to be a problem inthis case secondary to the severe loss of bone. I also would not use aplate on this fracture as it would require a huge exposure and increase therisk of infection."