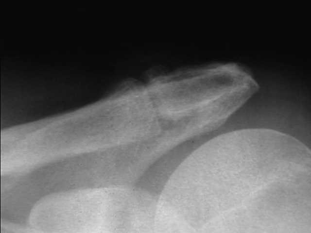
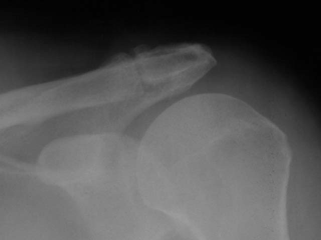
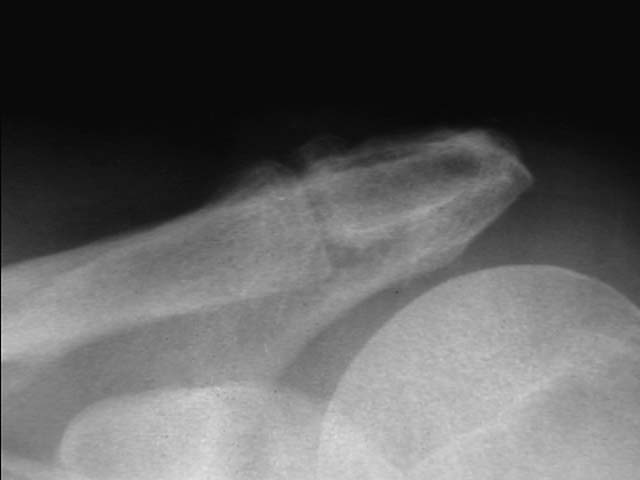
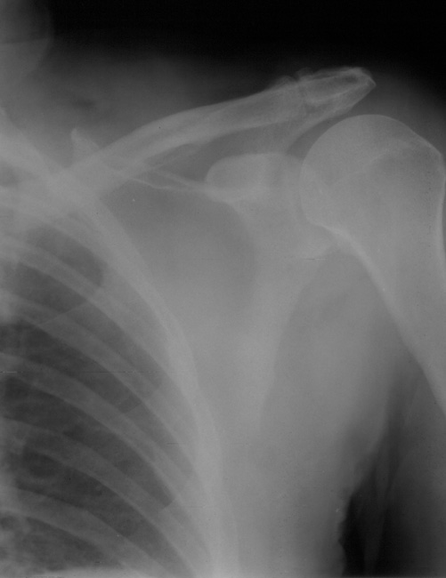
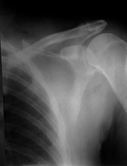
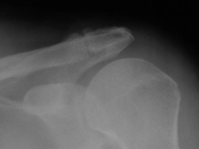
To provide an opportunity for the comparison of image scanning techniques, we are posting in the "Digital Images" forum of the HWB Home Page (http://www.hwbf.org/hwb/) an AP Shoulder film scanned with a $16,000 Howtek Scanmaster DX Xray scanner and a $200 "Snappy" video digitizer. The "Snappy" plugs into the video port of a camcorder or VCR. JPEG compression of either 5:1 or 10:1 are applied to the scans. We would be interested in any feedback with respect to the diagnostic quality of these images.
Click images to enlarge.ROW 1: JPEG 5:1 compression
1)
2)
3)
4)
5)
6) 
ROW 1: JPEG 10:1 compression
7)
8)
9)
10)
11)
12) 
Image Acquisition Key