Date: Mon, 13 Sep 2004 17:18:58 -0500

From: Anglen, Jeffrey

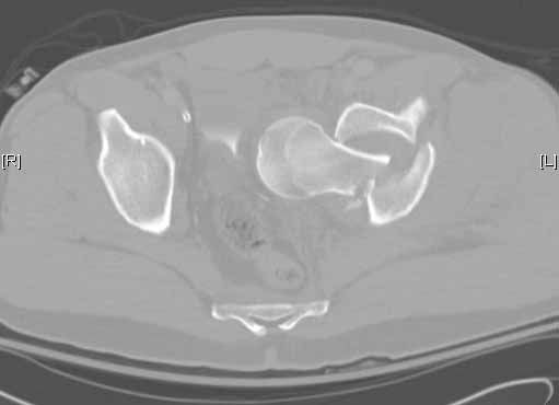
Subject: Intrapelvic fracture dislocation of the hip

Anyone ever seen one like this before? Any suggestions on how to get that thing out of there, because I tried and couldn't -got called in to the OR by a colleague with the patient already on the fracture table and 2 big incisions ( lateral and iliac crest) already made.  Gave up after an hour or two and will try again if I can figure the solution.

By the way, I ll be leaving the University of Missouri at the end of the year, and I m not sure what that means for the future of this list, but we may have to try to migrate to another server somewhere else.

Jeff

Jeffrey O. Anglen MD FACS
Boone Orthopaedic Associates
Clinical Professor of Orthopaedics
University of Missouri


Reply at: Orthopaedic Trauma Association forum

Date: Mon, 13 Sep 2004 18:15:22 -0700

From: Chip Routt

Yes. We used a Watson-Jones exposure, spread the acetabular fracture with a laminar spreader, and used a Schanz pin to remove the proximal femoral fragment, then fixed it, and later fixed the acetabular fracture.

Chip

M.L. Chip Routt, Jr.,M.D.
Professor-Orthopedic Surgery
Harborview Medical Center
Seattle, WA 98104-2499

Date: Tue, 14 Sep 2004 10:48:59 -0400

From: James Carr

Jeff

I have had one very similar. I placed him lateral decubitus, did a posterior approach, and did similar to what Chip described. The posterior approach allowed me to fix what appears to be a transverse acetabular fracture. The femoral neck can be fixated from that approach with multiple screws, although there may be more there than "just" a neck fx. The patient later required hemiarthroplasty for total head osteonecrosis.

I for one thank you for all the work with this trauma list, among other things.

Jim Carr

James B. Carr, MD
Premier Orthopedic Specialists
Columbia, SC 29203