Date: Mon, 28 Oct 2002 12:31:16 +0200

Subject: Smashed Forefoot Injuries

Dear colleagues!

What treatment do you prefer in similar cases?

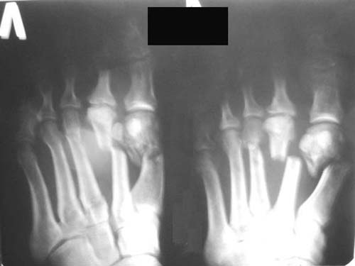
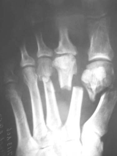
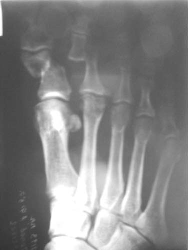
Man, 57 y.o., got a trauma in the coal mine.

Diagnosis: smash of the front parts of both feet, multiple open fractures of metatarsus bones and phalanxes of toes, contused-scalped wounds.

Status localis:
Right: scalped wound on the sole (10*8cm), partial injury of toes flexion tendons, incomplete tearing off of I-III toes (on the back piece);
Left: lacerated-contused wound on the back surface (4*7cm) with smashed edges, wound on the heads of metatarsus II-III bones (4*2cm), contused wound on the sole (2*1cm).

Left foot
Right foot

Thanks!

Best wishes,

dr. Anton Vladzymyrskyy
R&D Institute of Traumatology and Orthopedy
Donetsk, Ukraine
WWW: http://www.telemed.org.ua


Reply at: Orthopaedic Trauma Association forum