Date: Fri, 30 Aug 2002 17:09:21 -0400

Subject: Pilon fx + segmental defect

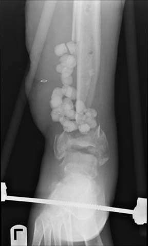
30 year old male, 10 weeks out from open fracture of distal tibia. Large anterolateral flap which looks healthy and just needs some STSG. Now shows up in my clinic. Slightly decreased sensation in dorsal foot, plantar normal. Decreased toe extension presumably from loss of anterior compartment and muscle damage.

How would you treat?

Michael Sirkin, MD
Chief, Orthopaedic Trauma Service
New Jersey Medical School
Newark, NJ 07103


Reply at: Orthopaedic Trauma Association forum

Date: Fri, 30 Aug 2002 16:47:17 -0500

From: Anglen, Jeffrey

My vote is acute shortening, tibio-talar fusion, re-lengthening through a proximal corticotomy (bifocal compression-distraction).

Jeff

Jeffrey O. Anglen MD FACS
Chief, Orthopaedic Trauma Service
Columbia, MO


Date: Sat, 31 Aug 2002 13:06:32 +0530

From: Dr Mangal Parihar

My tuppence worth....

Acute shortening to till you get bone contact between the proximal and distal fragments.
Minimal internal fixation oriented tranversely, subchondral, to secure the medial malleolus
Fill in the remaining area with cancellous bone graft Lengthen thru a proximal corticotomy

Sacrificing the distal fragment entirely, and aiming for a tibio talar fusion is another option....

Mangal parihar
Orthopedic surgeon, mumbai


Date: Mon, 2 Sep 2002 12:07:27 -0400

From: James Carr

I favor shortening, and trying to preserve the ankle segment with some internal fixation- plate vs crossed screws. Bone graft well. Ankle motion is sometimes suprising because of the shortening. Let this heal, then lengthen above using your method of choice. I prefer monorail technique.

Jim Carr

James B. Carr, MD
Palmetto Health Orthopedics