Date: Thu, 17 Jun 2004 15:27:25 -0500

From: Schmeling, Gregory

Subject: Subtroch Fracture

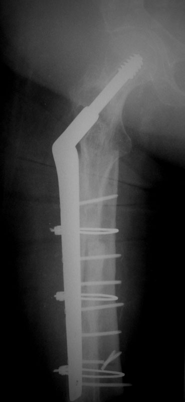
These are the Xrays of a 73 y/o women. The name of each file has the date it was taken and the view. These are all outside films and I know they are limited studies but I think the problem is evident. She had polio at age 5. 20 years ago she had a subtroch fracture plated with a DHS type implant. In Feb, 02 she presented to a local orthopod with a fracture under the plate. The hardware was loose at that time. The local orthopod kept the hardware and cabled allograft to the femur. She did well and was walking with only a cane or occ a walker until last month when she felt something was different and had some pain. She went to her orthopod who took the xrays in May. The orthopod sent her to me then. She has no motors of any significant function below the hip including lacking hip ext and flex. She has mild pain with rotational stress of the femur. She has a thick but not obese leg (she did grow up here in Wisconsin). She wears an AK brace on her leg. She has some pain but it s not too bad. She still can walk but does most of her ambulation with a wheelchair. She has little or no pain in the wheelchair. She is a 1 pack/ smoker for years. She has well controlled hypertension.

02/02/02 AP
02/02/02 lat
02/08/02 AP
02/08/02 lat
08/26/02 AP
08/26/02 lat

01/17/03 AP
01/17/03 lat
05/28/04 AP
05/28/04 AP
05/28/04 lat

I would be interested in your thoughts or questions

Gregory J Schmeling
Director, Division of Orthopaedic Trauma
Medical College of Wisconsin


Reply at: Orthopaedic Trauma Association forum