Subject: Low transverse sacral fracture

Date: Wed, 9 Jun 2004 14:08:35 -0700

From: John Ruth

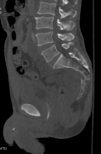
I have a patient who fell about 40 ft from a palm tree and survived. He sustained multiple orthopaedic injuries including comminuted subtroch., proximal humerus, and nondisplaced pelvic ring with zone 1 sacral fracture. The sacral fracture is well aligned but not impacted and will be stabilized with perc. Iliosacral screw. The anterior ring is nondisplaced. The patient also has this low transverse sacral fracture which is displaced. Would this low fracture benefit from ORIF or late excision if symptomatic? There is no discernable bowel or bladder neurologic injury.

John Ruth


Reply at: Orthopaedic Trauma Association forum