Date: Wed, 18 Jul 2001 10:01:14 -0400

Subject: RE: aortic injury from slow moving tank

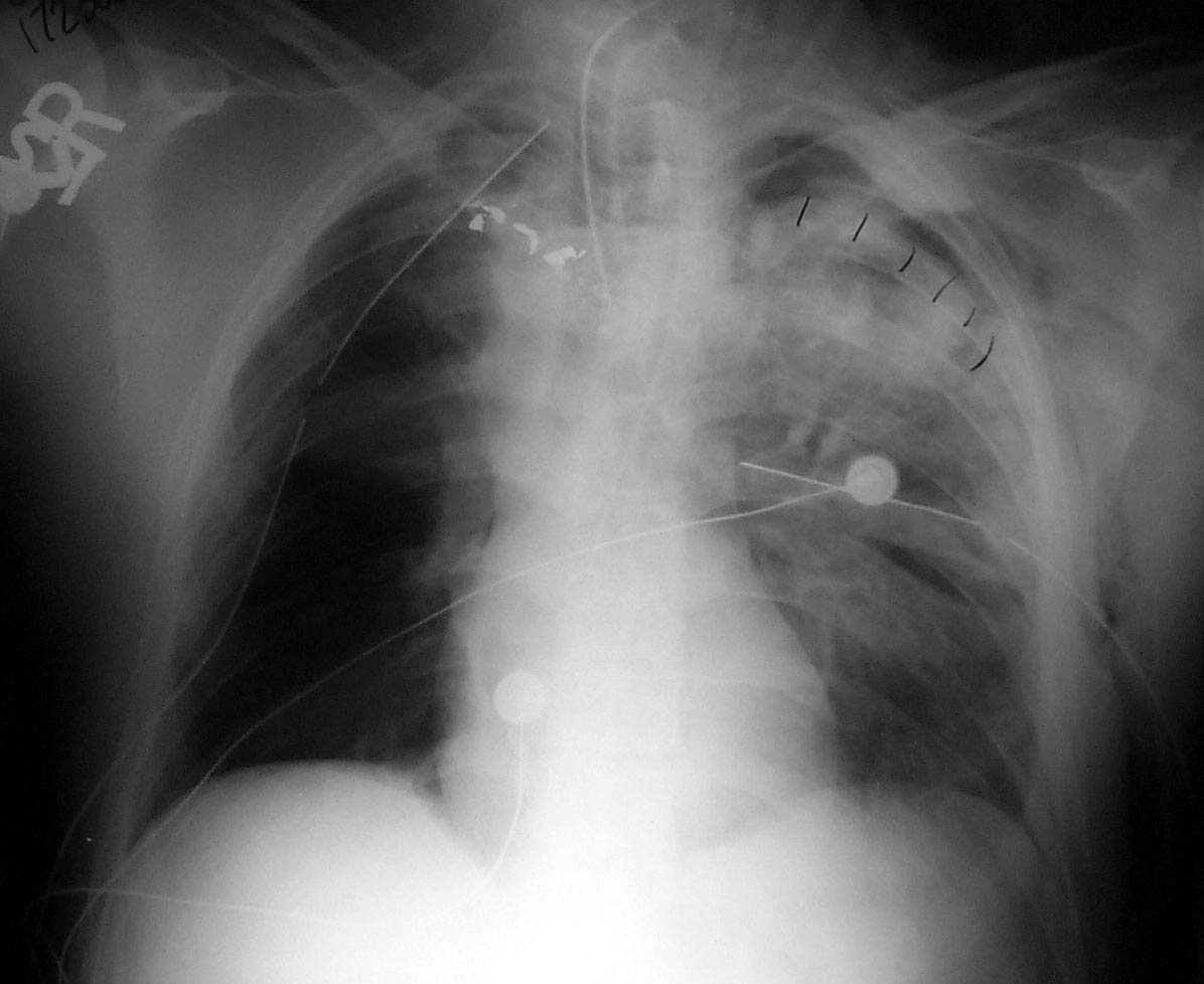
Enclosed are three figures--the CXR of a male with a left to right transmediastinal GSW of upper chest--no hard signs of vascular injury except for about 1000 cc blood out of left chest tube which eventually stopped without surgery. Next is angio #1 showing intimal defect in innominate artery right at the takeoff of the Rt subclavian and carotids. F/U angio one week later--no surgery--documents complete resolution of the intimal injury. There were no symptoms, including the blood from the left chest, attributable to this injury, thus fulfilling the criteria for observation.

Eric Frykberg, MD
UF Jacksonville

Click Images to zoom in.

Initial CXR
Initial Angio
Angio (1 week)


Reply at: AAST Trauma List