J Bone Joint Surg Am 1987 Jun;69(5):691-8
Multiple osteotomies with Zickel nail fixation for polyostotic fibrousdysplasia involving the proximal part of the femur.
Freeman BH, Bray EW 3rd, Meyer LC.
Involvement of the proximal part of the femur by polyostotic fibrousdysplasia is a progressive and disabling condition that leads to deformity.Morbidity is high in terms of recurrent fracture and deformity. Conventionalmethods of treatment have been ineffective in controlling these problems.The cases of four patients were reviewed to determine the natural historyof polyostotic fibrous dysplasia involving the proximal part of the femur.In six femora, multiple osteotomies with fixation using a Zickel nail wasutilized to provide definitive control of deformity and recurrent fractureand to allow the patients to return to normal activities.
PMID: 3597469 [PubMed - indexed for MEDLINE]

Figure 1 B - Rt femur - s/p 5 fractures treated closed. Lt femur - s/pfailed corrective osteotomy

Fig 1C - Early postop healing at osteotomy sites. Fig 1D - 4 years postop.

Fig 3-A: Case 3 - Radiograph made at the time of presentation showing thesecond set of Smith-Petersen nails with the right nail cutting out of the femoralhead.

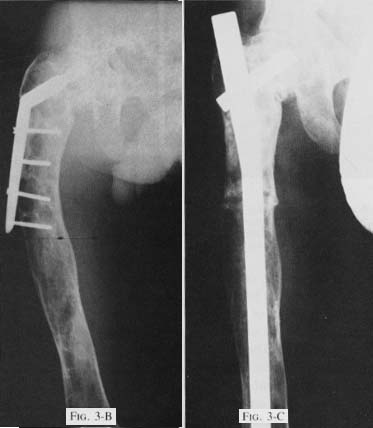
Fig 3-B: Preoperative radiograph showing revision with a compression screw andside-plate with subsequent varus angulation and impending fracture distal to theside-plate.
Fig 3-C: Radiograph made ten months postoperatively demonstratinga slow union at the single osteotomy site.