Date: Wed, 19 May 1999 00:05:23 +0530

Subject: Femoral Nonunion

Dear All,

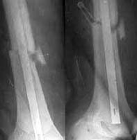
Seeking advice on further management of 26 years old male with femoral nonunion. He sustained femoral shaft fracture in a RTA 3 years ago and was treated with Open K nailing and Thomas Splint 3 years ago. See attached Xray. He was mobilised 3 months later. For about a year he was walking well then he developed pain in his knee. Xray attached show that the K nail had migrated into the Knee joint. K nail was exchanged with dynamic locking nail ( two distal screws - no proximal screw ) by closed technique - no bone grafting done. Patient was symptom free for about 18 months now has come with pain in the knee on weightbearing. Xrays attached show femoral nonunion with loosening of the distal screws (Area of lucency around the screws ). He is short fat male ( 5 feet 4 inches - 90 Kgs ), nonsmoker with no clinical or hematological signs of infection.

I would be grateful for the second opinion.

TIA - Rajat Varma FRCS, Indore, India.

AP 3 yrs ago
AP 2 yrs ago
AP now
Lat now


Reply at: Orthopaedic Trauma Association forum

Date: Tue, 18 May 1999 23:31:16 +0200

From: Jose M. Palomo Traver

I can infer from the x-rays neither the diameter of the locking nail nor the diameter of the isthmus. In spite of it I would again do a static exchange nailing with a 2-3 millimetres wider nail than the one he now has. I would rather choose a nail with larger locking screws.

Should the subtrochanteric isthmus be too narrow, you could always consider reaming up to 15-16 mm from below and insert either a supracondylar or a retrograde standard nail.

If you were to open and graft, you would need more stability too. That is, you would need an exchange nailing too. You should so refrain yourself from open grafting and keep it as a last resort should this last and larger exchange nailing fail.

Jose M. Palomo, MD, Med. Adjunto ( Consultant Trauma & Orth. Surgeon ), Castello General Hospital, SPAIN


Date: Wed, 19 May 1999 10:48:02 +0200

From: Peter Schandelmaier

I think he needs rotational stability. You need either a non slotted interlocked nail of a larger diameter, with distal static locking and proximal a dynamic locking or a simple plate

Peter Schandelmaier, Hannover


Date: Wed, 19 May 1999 11:51:31 +0200

From: Robin Peter

Femoral nonunion after IM nailing will not be solved by re-reaming, re-nailing and even interlocking even with a larger nail, at least in an unacceptably high number of cases. This is due to the ineffective rotation stabilization provided by nailing (even interlocked). Look at the rotation of the fracture site, next time you expose a femoral nonunion fixed with a nail: it rotates. Failure rates of up to 50 % after re-nailing of femoral nonunions were reported at OTA, Louisville, 2 years ago.

There are 2 ways to solve your case. One is to remove the nail, decorticate, graft and put in compression using a 95¡ AO blade-plate, DCS or similar. Second is to perform a re-nailing, with additional decortication and bone grafting of the site, added with a plate for increased rotational stability. In this distal fracture, I would certainly choose option 1.

Dr Robin Peter, Clinique d'Orthopedie, Hopital Cantonal Universitaire, Geneva, Switzerland


Date: Thu, 20 May 1999 20:51:27 -0230

From: Robert Russell

18 months is quite a long time for a non union of a femoral fracture.... After ruling out infection an exchange nail procedure (ie removing the present nail and reaming up the femur to a larger proximally and distally locked nail) would be my procedure of choice.

Robert Russell M.D.


Date: Fri, 21 May 1999 18:23:38 PDT

From: George Thomas

This is a hypertrophic non-union, which means that it needs more stability than the interlocking nail is able to provide. I would suggest a 95 degree AO blade plate and bone grafting.

George Thomas