Date: Wed, 10 Mar 1999 01:01:11 +0530

Subject: Polytrauma survey

Dear all,

I am relatively new to the list but have used it often for advice. I am amazed at the variety of responses, sometimes conflicting, to the problem posed. This has prompted me to conduct a survey, with a aim of writing a paper, if there are enough responses.

I have just had a 21 years old female involved in a RTA 2 days ago. She has got

femur
humerus
tibia AP
tibia AP
tibia lat

All injuries closed with no distal neurovascular deficit. No other injury.

Questions I would like answers to are

Please indicate your city and country and indicate if you are a trainee / Consultant with - 5 years / 5 - 10 years / 10 - 20 years / more than 20 years experience.

I personally was planning to do standard Interlocking nailing for femur and tibia tomorrow followed by closed Interlocking nailing humerus two days later.

Rajat Varma FRCS, Consultant Orthopaedic Surgeon ( 5 years ), Indore, India.


Reply at: Orthopaedic Trauma Association forum

Date: Tue, 9 Mar 1999 17:39:54 -0500

Dr. Rajat:

I would fix the fractures at one time on the day of injury, not 2 or 3 or 4 days later.

I am a consultant with over 25 years of experience.

The femur fracture would be fixed first with an "standard" antegrade interlocking intramedullary nail but with two screws proximally (Biomet).

The contralateral tibia fracture I would treat with an interlocking intramedullary nail, although an arguement could be made for treating a nondisplaced fracture with a long leg cast. However, in a multitrauma patient, fixation is preferred.

For the humerus, I am using an unconventional method (in a prospective study) of using a Orthofix-type external fixator. Results so far are good. I became disenchanted with the IM nail after seeing many nonunions develop at our center. Plating would be my second choice, but the exfix works and gives much less tissue damage.

If you can use a 12 mm nail in the femur, immediate weight bearing with four point gait is possible. If not, wheelchair for 6 weeks.

E. Frederick Barrick, MD, Director of Orthopaedic Trauma, Inova Fairfax Hospital, Falls Church, VA


Date: Wed, 10 Mar 1999 07:32:38 +0200

I would prefer to fix the femur with I M H screw of (RICHARD) or even the convential interlocking nail. For the humerus fix it with humeral interlocking nail . As regard the tibia I prefer to do reamen interlocking nal and you can do all these procedures the same day of injury as these are non bloody operation but of course you are in need for a highly selected team of assistance unless you are a superman to do all these operations alone by only yourself. The patient can be mobilised the second day of operation if you use :

11 mm interlocking for the femur with static locking .

9 or 10 mm for tibia .

I wish for you a happy operation day and a happy postoperative regiemen for your patient . I think if you follow my plan you will need at least onw week as a week end to get rid of the effort exerted to do this package of operations

Mohamed Abdel_AL, consultant with 6 years experience, Elbakry General Hospital, Cairo Egypt


Date: Wed, 10 Mar 1999 19:31:34 -0500

Dear Dr Rajat

I am an orthopaedic surgeon with 4 years of practice as a consultant at a level one trauma center in Bogotá (Colombia).For the subtroch I will use an IM nail - UFN statically locked with an spiral blade or an indirect reduction with a DCS using the MIPPO technique. For the Humerus I will use an IM nail statically locked - UHN with a LC-DCP as a second choice with an anterolateral approach. For the tibia I will use an UTN dinamically locked. I will definitely do it in a one sitting procedure with my partner. I will use crutches with PWB ASAP.

Rodrigo Pesántez Jr., MD


Date: Fri, 12 Mar 1999 15:48:04 EST

must have a good AO rep down there!

roy sanders


Date: Thu, 8 Apr 1999 00:30:04 +0530

Dear All,

Thanks to all the participants of the survey. Here are the results.

DEMOGRAPHIC DATA

1. 36 responses from 14 different countries.- Majority from USA and UK - ( 12 from USA, 8 from UK, 3 from Spain, 2 each from Malaysia and Nepal, 1 each from Barbados, Belgium, Canada, Colombia, Egypt, France, India, Neatherland and Turkey.)

2. Response from UK was from younger surgeons, While response from USA was from Senior surgeons !

(All 8 respondant from UK were either Trainee or consultant of less than 5 years practice While 9 out of 12 respondants from USA were consultants with more than 10 years of practice ).

ORTHOPAEDIC DATA

3. " IN MY EXEPRIENCE " is a clear winner ! We recently had a debate on Orthopod list on " In my experience v/s Evidence based Medicine" In this survey there were as many as 30 different combinations of treatment from 35 responses for the same clinical situation. Surely, this is not evidence based medicine. It is more likely to be different interpretation of the common pool of knowledge, in light of personal experience and circumstances.

SUBTROCHANTERIC FRACTURE

4. Close nailing is in, ORIF is Out . 17 votes for Standard Interlocking nailing, 11 votes for Recon nailing , 3 votes for Gamma Nailing 1 for UFN with spiral blade and 3 for open K nail. Nobody for DHS / Reverse DCS .

FRACTURE HUMERUS - In POLYTRAUMA SETTING

5. Close Nailing is clear winner with Plating coming second. This is contrary to the literature, where open plating for humerus is considered gold standard. 19 votes for close nailing ( 16 standard, 1 retrograde , 1 enders , 1 hackenthall pinning ) and 13 votes for Plating, 2 for Plaster and 1 for external fixation with Orthofix.

ISOLATED FRACTURE HUMERUS

6. No surprises here. 22 out of 25 responses for conservative treatment - plaster followed by brace. 2 for Close nailing and 1 for external fixation.

FRACTURE TIBIA - In POLYTRAUMA SETTING

7. Close nailing all the way - Plating is obsolete ! 30 votes for close nailing, 4 for plaster and 1 for external fixation and none for plating.

ISOLATED STABLE FRACTURE TIBIA

8. Plaster is losing ground to close nailing. Out of 25 responses to this question ,15 votes for plaster and 10 for close nailing.

SURGERY AND REHABILITATION

9. Agressive operative & post operative care is the message ! All but two surgeons would have done the surgery at single sitting provided anaesthetist agreed.

24 surgeons would immediately mobilize their patient with Zimmer frame while 11 would wait till they see some callus formation.

I hope this exercise was worthwhile and would generate some comments !

I am posting my results on this particular patients tomorrow.

Rajat Varma FRCS, Indore, India


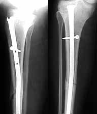
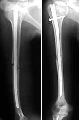
Date: Thu, 8 Apr 1999 23:39:58 +0530

Dear All,

femur
humerus
tibia

The patient came to me two days after injury. Her general condition was not good with Hb 6.7 gm%. After Blood transfusions in the first stage I did standard femoral Interlocking - 10mm nail with two proximal screws. 3 days later I did Tibial and Humeral Interlocking nailing - 8mm and 6mm nail respectively with proximal locking only.

Patient was mobilised with Zimmer frame on 3 rd post op day after second operation.

On discharge 10 days later she wass walking independently with Zimmer frame with full knee hip and shoulder movements. Xrays are attached.

Questions I am seeking answers to

TIA, Rajat Varma FRCS, Indore, India.


Date: Thu, 9 Sep 1999 13:27:07 -0400

From: Agnew, Samuel G.

Orthopaedic Trauma attending 10 years experience:

1. standard antegrade 2nd generation locked nail ( oblique trochanteric locked rod) for the femur

2. ORIF Humerus plated via extensile approach

3. Locked medullary rodding tibia, locked anticipate 10-11mm diameter rod.

Weight bearing delayed until range of motion of knee 0-100, and good quad lock. Ankle range of motion > 70% symmetric.

Begin to pivot on humerus fixation in 3-4 weeks

All procedures performed under same anesthetic if possible.

Good luck with the questionnaire, and data as it will be harder to deal with then the clinical scenario presented.