Date: Sun, 28 Feb 1999 20:20:08 +0530

Subject: Distal Radius fracture

Dear All,

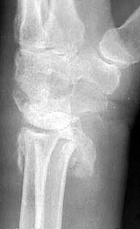
Seeking advice on management of 1 month old untreated distal radius fracture in non dominant hand of a 64 years old watchman. Pictures and xrays attached.

TIA - Rajat Varma FRCS, Indore, India.

AP
Lateral
Valgus stress
Clinical Photo


Reply at: Orthopaedic Trauma Association forum

Date: Mon, 01 Mar 1999 19:04:54 -0500

From: Brent Bamberger

I have had two cases like this.

If there is Pain and the patient can live without motion then , I woulddo a wrist fusion with resection of the distal Ulna. I would stabilizethe distal ulnar resection with an FCU or ECU sling. If he would like tomaintain some ROM, then do a distal ulnar resection (with tendon sling).and Pin the Radius, in the best position you can get.


Date: Mon, 1 Mar 1999 21:51:18 +0530

I was planning to excise head of ulna , use it to bone graft the distalradius, maintain position by K wire and plaster for 6 weeks. Is this a reasonableapproach in a 64 years old ?

TIA - Rajat Varma FRCS, Indore, India.


Date: Tue, 02 Mar 1999 09:15:16 -0400

I don't think this is the right thing to do. The joint is intact ? Fixit. You can always do the ulnar procedure later on for DRUJ incongruityif it is a problem. Doing the ulna procedure without aligning the distalradius is a little bit of a crap shoot.

Ed Harvey, McGill University Health Center, Montreal Canada


Date: Tue, 02 Mar 1999 13:31:30 -0500

From: Brent Bamberger

I agree that the radial carpal joint needs to be reconstructed. I feelthat doing an ulnar procedure , will allow only one surgery and a shorter time ofmorbidity. The DRUJ is an unsolved problem ,and an arthritic unstable DRUJ isworse.

I agree that fusion should the last resort , however it should beconsidered