Date: Thu, 14 Oct 1999 20:29:22 +0100

From: Chris Oliver

Subject: ? Occiput/C1 injury

Adolescent. RTA knockdown. ATLS protocols. Put in hard collar. These films below obtained. no neck pain, no swelling, no neurology, no dysaethesia, no previous neck trauma. Closed # tibia.

Comments??

Christopher Oliver FRCS (Tr & Orth) DM, Edinburgh Orthopaedic Trauma Unit, http://www.orthopaedic.ed.ac.uk/cwo.htm, http://www.axissolutions.co.uk

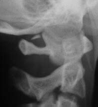
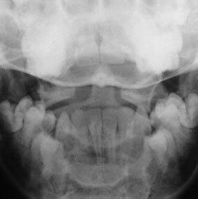
Lateral
Odontoid
Spot Lateral


Reply at: Orthopaedic Trauma Association forum

Date: Sat, 16 Oct 1999 19:37:07 +0200

From: Dorte Dalgaard

Dear Chris,

With the lack of symmetry in the AP, I guess you did a CT or MR. Can we see it?

Dorte Dalgaard


Date: Tue, 26 Oct 1999 08:33:58 -0600

From: Thomas A. DeCoster M.D.

I cannot make a diagnosis from these films (which are clearly reproduced, I cannot decipher the information). There is a bony ossicle (?fx fragment) posteriorly between O-C1 and asymmetry of the atlas on open mouth odontoid. I would keep her neck braced and follow the clinical exam; probably with additional studies of the O-C1junction (CT +-MRI) and review with radiologist.

TOM DECOSTER


Date: Tue, 26 Oct 1999 16:18:49 +0100

From: Chris Oliver

MRI was unremarkable except for showing the bony ossicle. Radiologists said the peg view was rotated.

Our radiologists tell me its part of a congenital arch. I have never seen this kind of remnant at this level. Has anyone else?

Christopher Oliver FRCS (Tr & Orth) DM, Consultant Trauma & Orthopaedic Surgeon, Edinburgh Orthopaedic Trauma Unit