Date: Mon, 04 Mar 2002 21:50:40 -0500

Subject: Knee Dislocation

This is a 23 yo male that had a knee dislocation in Oct 2000 w/a popliteal artery injury repair and compartment syndrome and peroneal nerve injury that has not recovered.

Injury AP
Injury MRI

He had STSG and delayed ACL/PCL and posterolateral corner reconstruction at 3 weeks. I only have his injury films, but he says his leg always has appeared to be in varus. He has a sedentary job, painless ROM 0-100 degrees, walks w/ slight limp. He made an appointment to establish a new physician as his insurance has changed. His clinical appearance and current xrays are impressive, but he does not seem too concerned. Any thoughts on interventions? He is getting his post reconstruction xrays for review.

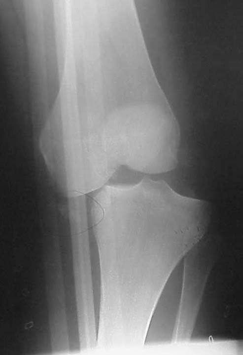
AP 18 mos
Lat 18 mos
Varus

Bill Obremskey MD MPH
University of North Carolina
Dept. of Orthopedics


Reply at: Orthopaedic Trauma Association forum

Date: Tue, 05 Mar 2002 08:03:32 -0600

From: Adam Starr

I have very little experience with knee ligament reconstruction.

But I think he'll continue to erode his medial compartment if he's left like this.

I think my plan would be:

1. Get a CT to evaluate the tibial plateau, and get some better plain films.
2. Looks like the posterolateral corner repair has failed. I think it needs to be redone, to keep this knee from slopping back into varus. I'm not so sure I'd worry about the ACL.
3. I'd do my best to bring the smashed medial compartment rim back up and buttress it. The CT should tell you how much of it is gone, and if there's anything you could work with.
4. I'd try real hard to get the tibia back under the femur, and hold it there. If you could do this in a cast brace, great. If not, then I'd use a knee bridging ex-fix.

What I'm describing is a long run for what may be a short slide. HO might be a problem - indocin or XRT are worth thinking about.

This really is a horrible problem, especially in such a young patient.

You say he's not too concerned? I wonder why not? Is he a substance abuser? Is he refusing to see reality, or what? Prior to all that surgery, I'd try to get a handle on the kind of patient I have. If you think the guy is not a good candidate for a reconstruction then I'd support a decision to do nothing. Because you could sure make him worse.

Adam Starr
Dallas


Date: Tue, 05 Mar 2002 14:33:18 -0500

From: James Carr

Knee fusion unfortunately is his only option. At least he has a leg to stand on.

Jim Carr


Date: Tue, 05 Mar 2002 14:42:31 -0600

From: Steven Rabin

at his age, and with this much instability and bone loss, I agree that knee fusion is the only surgical option, but I would wait until he admitted to more symptoms. If he truly is not too concerned, he might be less happy with no knee motion especially with the drop foot since bending the knee to compensate for the foot equinus will not be possible. With the knee fusion, you might need to do a tendon transfer for the foot for better ambulation.


Date: Tues, 5 Mar 2002 4:44 PM

From: Bill Burman

Since this is a relatively painless but rapidly progressive condition, what about the possibility of this neurovascular injury producing a post-traumatic neuropathic knee?

Evidently charcot joints can follow macrovascular injury see :

Mureebe L, Gahtan V, Kahn MB, Kerstein MD, Roberts AB; Popliteal artery injury after total knee arthroplasty.; Am Surg. 1996 May;62(5):366-8. - as they do from microvascular injury (diabetes).

The patient reports a pre-existing deformity. If the mechanism of injury were a relatively minor trauma, perhaps it is a dislocation superimposed on a pre-existing charcot knee.

Even acutely, it seems this dislocation wasn't bothering the patient very much as it appears he held very still while they obtained a nice MRI of his dislocated knee.

Bill Burman, MD
HWB Foundation


Date: Tue, 5 Mar 2002 15:47:19 -0700

From: John Ruth

That is one ugly leg. Do you think the ligament reconstruction was done in that position or did it fail? I think that his peroneal nerve may still be stretched and realignment (probably only possible with semiconstrained TKR or fusion) and release may help. I could sure agree with nothing until he becomes symptomatic.


Date: Tue, 5 Mar 2002 21:20:51 -0000

From: chris wilson

Did he have a medial tibial plateau fracture with the injury , or has the medial plateau eroded as a result of his gross varus thrust? No postero-lateral reconstruction will stay intact in the presence of such gross genu varus,and the ACL and PCL recontructions must not be intact to allow such a degree of subluxation.

He already has established DJD, and most probably chondrolysis, and even if you were to get a functioning knee with a combination of an opening wedge medial HTO and further cruciate reconstruction,it would probably be very painful.

I agree with Dr. Carr that the best treatment option is knee arthrodesis, and it would probably be best to do nothing until the patient develops sufficient symptoms to actually request further intervention.

Chris Wilson
Knee and Trauma Surgeon
University Hospital
Cardiff, UK


Date: Tue, 5 Mar 2002 23:10:47 -0000

From: rajesh

A painless knee which moves from 0-100 degrees, an unconcerned patient. Leave well alone until he becomes concerned or the knee becomes painful and then possibly an arthrodesis as there is suggestion of a charcot's joint.

Mr. K. Rajesh
Locum consultant
Hope Hospital
Salford ,UK


Date: Tue, 05 Mar 2002 16:24:34 -0500

From: James Carr

If he isn't hurting too much, you could consider a g2 unloader brace to try to balance the knee, and preserve motion. Knee fusion is really a last resort.

Jim Carr


Date: Tue, 5 Mar 2002 19:48:13 -0400

From: Manuel Sotelo

I totally agree with Jim. He has a long way to go before a fusion and if he is not symtomatic one can wait until that moment with a orthosis. When symtomatic a prothesis may do.

Regards
Manuel Sotelo


Date: Wed, 06 Mar 2002 12:03:24 -0500

From: William Obremsky

rajesh wrote: "there is suggestion of a charcot's joint "

I do not think he has a Charcot joint, but he has poor sensation and that may be his saving grace.

chris wilson wrote: "Did he have a medial tibial plateau fracture with the injury , or has the medial plateau eroded as a result of his gross varus thrust?"

He did not have a medial plateau fx, but probably had an avulsion fx from the medial meniscus that is sometimes associated w/a high energy anterolateral force. I agree that the posterolateral and ACL/PCL reconstructions are probably not functional and a realignment may increase his instability. I did use our mini-flouro in clinic and he has some minor varus laxity, but does not come close to relocating his joint.

Bill Obremskey


Date: Fri, 8 Mar 2002 12:20:47 -0600

From: girish kumar

If he isn't hurting too much, you could consider a g2 unloader brace to try to balance the knee, and preserve motion. Knee fusion is really a last resort. Jim Carr

how good is the G2 unloader brace?? unfortunately, the brace which was available in India has now stopped marketing it now, due to poor demand and high cost. I ask so that it may be recommended to a select few who can travle abroad for such things in selected cases as a stopgap measure. does it work for OA as much as it is claimed to do?? do you guys deal with OA and elective ortho at all??

tia.

With warm regards & best wishes,

Dr N V Girish Kumar
Kongunadu Hospital, KG Hospital
Ponniah Raja Puram
Coimbatore - 641001
Tamil Nadu State
India


Date: Fri, 08 Mar 2002 14:01:15 -0700

From: Thomas A. DeCoster

My assessment is that you have a young (23) patient with chronic severe subluxation of the knee joint and deformity 1.5 years after knee dislocation with failed ligamentous repairs of the ACL, PCL and PLC. His motion is surprisingly good (0-100) and his symptoms are surprisingly minimal. He is showing radiographic degeneration of the joint and also has peroneal palsy.

The main surgical options are repeat reduction and ligamentous reconstruction (perhaps with osteotomy), arthrodesis and total knee replacement. Non surgical options include observation (nothing for now) and bracing.

None of these are particularly appealing. The drawbacks of each treatment include:

1. Do nothing: young man with a bad problem with a poor natural history; missing the opportunity to help him.
2. Brace: not likely to significantly help him nor alter the natural history
3. Ligament re-reconstruction: risk of complication (irreducible,recurrent instability, stiffness)very high
4. Arthroplasty: risk of complication (instability, prosthesis wear/loosening) very high
5. Fusion: poor function compared to him now, might be worse with footdrop.

I agree with Dr. Carr's comments. I suggest to try an unloader brace and plan for a fusion in the future when symptoms get bad enough. He had a bad injury and still has a leg to stand on.

Tom DeCoster


Date: Fri, 08 Mar 2002 19:42:01 -0500

From: James Carr

I have used the G2 brace on many arthritics, and actually has worked well. None as severe as the guy you show. Based on symptoms, maybe best just to wait.

Jim Carr


Date: Fri, 8 Mar 2002 21:52:21 -0600

From: girish kumar

thanks a lot.

do you know how much it costs in US dollars??

Dr N V Girish Kumar
Kongunadu Hospital, KG Hospital
Ponniah Raja Puram
Coimbatore - 641001
Tamil Nadu State
India


Date: Mon, 11 Mar 2002 08:49:17 -0500

From: James Carr

$750 +/- 250. Its a shame the company couldn't donate one- J&J makes it.

Jim Carr