Date: Fri, 08 Jun 2001 06:06:16 -0400

Subject: Distal radius and shaft fx

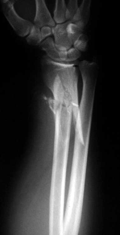
This patient is a 34 yo male raceboat driver who was ejected and had a propeller injury to his left non-dominant arm w/ amputation of digits 2-4 and dorsal wrist laceration and distal radius fracture w/ shaft extension.

We have seen a few of these injuries that are difficult to stabilize w/ standard implants due to the shaft extension. I recently received a Synthes proto-type from Dr. Daniel Rikli in Aurau, Switzerland of the standard T-plate w/long proximal extension. It is a good implant for these unusual injuries. I wanted to get opinions on what others would do w/ standard implants. The plate takes 3.5 mm screws proximally and 3.5 or 2.7 screws distally. In a closed injury I imagine I would use the plate volarly, but due to the dorsal wound and lack of extensor tendons we plated the fx dorsally. I think we all should encourage Synthes to make these plates widely available.

Bill Obremskey MD MPH
University of North Carolina
Dept. of Orthopedics


Reply at: Orthopaedic Trauma Association forum

Date: Fri, 8 Jun 2001 16:40:10 +0600

From: Alexander Chelnokov

Hello William,

WO> 2-4 and dorsal wrist laceration and distal radius fracture w/ shaft extension.

Why not use a small wire external fixator for such kind of injury?

Best regards,

Alexander N. Chelnokov
Ural Scientific Institute of Traumatology and Orthopaedics
str.Bankovsky, 7. Ekaterinburg 620014 Russia


Date: Fri, 8 Jun 2001 07:29:48 -0700

From: bruce meinhard

Great Job! We have encountered this problem and used our own Hybrid kind of plate by treating the metaphyseal part with a standard T plate and overlapping it with a 3.5 DCP for the diaphyseal component.

BPM


Date: Sun, 10 Jun 2001 09:02:22 EDT

From: Tom DeCoster

I agree that distal radius fractures with extention up the shaft lack for a particularly good implant. I also agree that what I would most commonly do is overlap two plates as suggested here (T plate distally and 3.5 DCP or other proximally). That is an OK solution but not perfect and the new special plate seems like a nice addition to the treatment armamentarium.

Sometimes it is hard to get the proximal plate to line up with the shaft. In those cases I have overlapped only one hole so there could be a pivot point. I wonder if alignment would be a problem with long tapered plates. I have also used the special wrist fusion plate that is smaller and thinner distally (for metacarpal) and 3.5 DCP type proximally. However it doesn't really fit the distal radius part very well.

Tom DeCoster


Date: Mon, 11 Jun 2001 13:19:15 -0700

From: John Ruth

I have stacked a 3.5 T-plate under a 3.5 LCDCplate for similar injuries. There is a need for a better implant. I talked with our Synthes rep. 5-6 years ago about this but nothing ever materialized. I had envisioned a T design with a thin distal end that tapers up to a LCDC thickness and design proximally. The real problem fractures are those with 2-3 cm of intact distal radius with complex comminution extending 5-6cm proximally.


Date: Tue, 03 Jul 2001 13:59:02 -0400

From: Michael S. Sirkin, M.D.

Ace makes some plates, the PERI set which has a particularly good implant for this type of fracture. The meta plate which has 2 different size flares. The smaller one fits well on the radius even though it was originally designed for the distal tibia. It comes in multiple sizes. These plates were designed by Drs. Bone and Sanders.

Below is an example.

Michael Sirkin, MD
Chief, Orthopaedic Trauma Service
Assistant Professor, Department of Orthopaedics
New Jersey Medical School
Newark, NJ 07103