Preoperative Plan.
After repeated debridements and local flap soft tissue coverage of the wound, the middle third of the fibula would be split in the sagittal plane, with overdrilling of the lateral cortex to permit the passage of beads for selective contact and medial transport on the medial fibular cortical fragment.

Artistic Representation
Medial traction would be applied at the rate of 1 mm per day enabling a 3 cm medial transport within a month. Longitudinal transport to fill the same defect would require 13 months.

Immediate Post-Op Xray
Due to war-zone conditions and supply shortage, beaded wires were not available. Kinked K Wires were substituted to engage and apply traction to the fibular cortex. Shrapnel from the land mine injury remains in the distal tibial intramedullary canal.

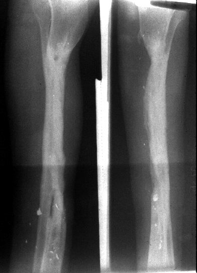
5 month Follow-Up
The patient is partial weight-bearing without pain. The soft tissue envelope is secure. The abundant soft tissue shadow indicates a transport of the soft tissues surrounding the fibular segment as well as the bone. Joint motion above and below the fracture is preserved.
