Hip Forum

Case 1

Presented by: Dr. Patrick Hoekman, Niger, Africa - July 7, 1996

I would appreciate diagnostic and treatment suggestions.

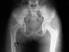
History: A 10 year old black female complains of pain in the right hip. There is no history of fever.

Physical Exam : Good general condition.

Rt Hip : Trendelenberg positive. Wasting of the gluteal muscles. All movements of the hip are limited.

Initial xray - Click to enlarge.

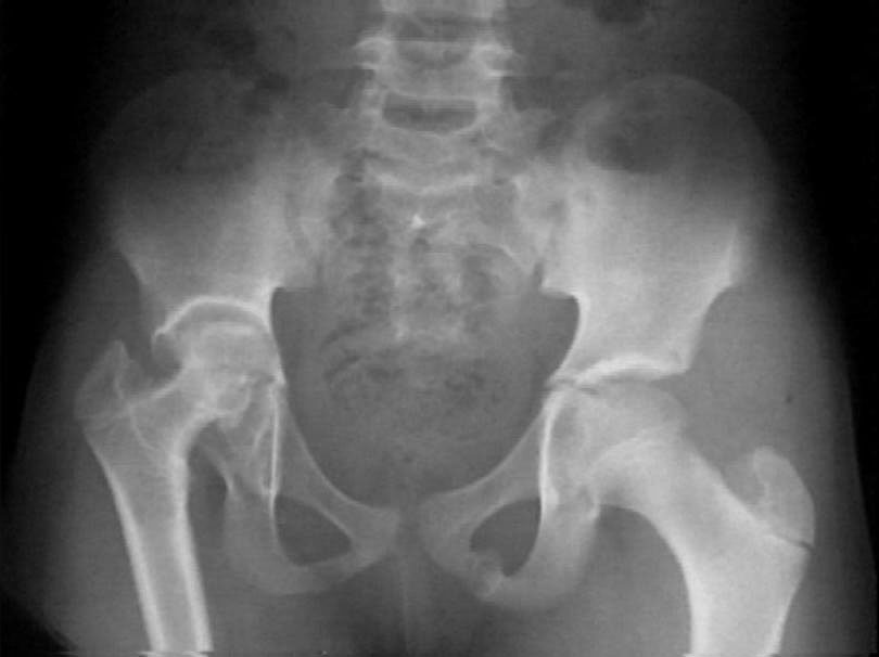
2 year followup xray - Click to enlarge.

Lab: Leukocytes - 7300/cubic mm, ESR - 10 mm/hr., Sickle cell - negative, IDR(PPD) - 10 mm with a mark of old BCG vacccination.

Suggestions? Thank you.


Reply at: HWB Foundation

Discussion