Date: 4/4/02 2:26 PM

Subject:Tarsal Navicular Fx

From: Peter Hamilton

Dear all,

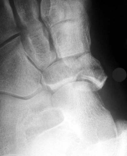
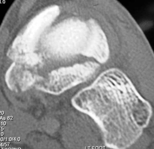
39yo male construction worker presents with 10 day old closed comminuted navicular # following low velocity fall from small motorcross bike.

Any thoughts on management would be appreciated.

Reconstruction vs. ex fix vs. primary graft and fusion.

Mr. Peter Hamilton MBBS(Hons.),FRACS(Orth).
Trauma & Orthopaedic Surgeon
Addenbookes Hospital
Hills Rd
Cambridge CB2 2QQ
United Kingdom


Reply at: Orthopaedic Trauma Association forum

Date: Thu, 04 Apr 2002 16:54:44 -0800

From: Sean Nork

Peter

ORIF.

Sean Nork


Date: Thu, 04 Apr 2002 23:25:01 -0700

From: Thomas A. DeCoster

Regarding case of comminuted navicular fracture. It is appealing to openly reduce this but it is often very difficult to obtain reduction and good fixation and to get the implant where you want it. I have had some success with open reduction and absorbable pin fixation with neutralization with a spanning minifixator with 2 x 3mm half pins in the talus and first metatarsal. Howmedica makes mini-hoffman and EBI has a mini-rail. Tourniquet and plan for 2-3 hours of somewhat tedious work with lots of fluroscopic checking to make certain you are putting pieces and implants where they belong. Temporary internal spanning plate has also been done in Seattle and seems reasonable although I haven't had much luck with lots of little screws in these small pieces.

Tom DeCoster


Date: Fri, 05 Apr 2002 11:39:49 -0800

From: Bruce Sangeorzan

i suggest ORIF followed with either spanning fixator or a temporary plate from the talus to the cunieform to protect the TN joint while it heals.

bruce


Date: Mon, 08 Apr 2002 16:55:36 -0400

From: William Obremsky

Peter,

ORIF and span w/ fixator or plate

See Sangeorzan B et al. JBJS 71A:1504,1989

Bill Obremskey MD