Date: Sun, 2 Sep 2007 17:38:41 EDT

From: Gavin Pereira

Subject: Denis Type 3 Sacral Fracture

Dear Colleagues,

I am sending this case on behalf of a colleague of mine from another hospital in the UK.

The story sent to me so far.......

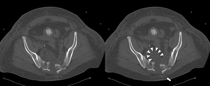
On 9.8.07, a (very large) 50y male motorcyclist came in with significant exsanguinating pelvic injury. No further details on mechanism. Wrap->Embolisation->Ex-fix. Unfortunately, the rectal tear was missed (approx 24h, and has colostomy), as was what appears to me to be a bladder neck disruption (over a week). Not surprisingly he is septic. Has right lower anterior abdo wall sepsis - debrided and vacced. Urine now draining via surgically placed urethral catheter. Appears to be improving but still very sick. I am told that he could move his legs prior to intubation. I am trying to find out whether there were any meaningful perianal neurological findings recorded.

Scans 3D and axial attached (these were done on 17.8.07). I have tried to window the axials to show the nerve roots best.

Click images to zoom in.


I am worried that trying to reduce the sacrum might squeeze the nerve roots between fracture surfaces. Even if they don't get pinched I wonder whether the canal should be decompressed from behind with all the oedema around. The possibility of sacral pressure sores in this sick chap over a posterior operation wound is unappealing. Ex-fix would make prone positioning difficult/impossible. These are just a few of the tricky thoughts bothering me about this.

I think prone would be difficult unless the ex-fix comes off. Also, I have now got his original admission scan which appears to show a bit of closed degloving under the sacral skin.

He is waking up a bit and he appears to be moving his legs. Sphincter-wise the anal shincter was apparently torn and the bladder neck is disrupted I think so we may never know his true continence.

Do you think the sacrum might throw out enough callus to stabilise sufficiently? As the fracture goes into the disc space I guess that vertical displacement is unlikely.

Many thanks,

Gavin Pereira
MBBS, FRCS(Eng), FRCS(Orth)
Consultant Orthopaedic and Trauma Surgeon
University Hospitals Coventry and Warwickshire
Clifford Bridge Road
Coventry CV2 2DX
UK


Reply at: Orthopaedic Trauma Association forum