Date: Fri, 9 Nov 2001 09:44:14 +0100

From: J.C. Goslings

Subject: Pelvic & acetabular fracture

Dear list members,

A 19 year old woman fell/jumped from the third floor.

Taken to OR for ex fix pelvis and laparotomy for intraabdominal bleeding. Ankle debrided and ex fix. Wrist splinted with plaster. In stable condition to ICU. Return to surgical ward on day 4.

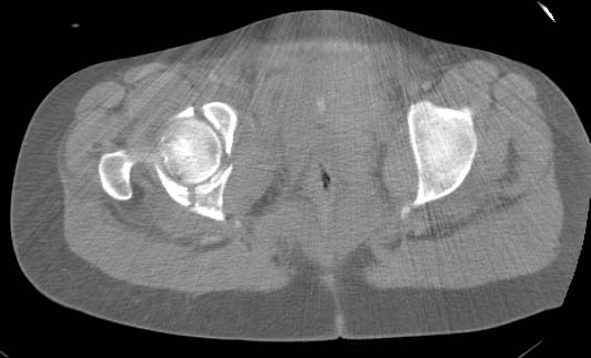
Attached some of the X-rays and CT pictures. Apologizes for the quality of the imaging. What are your recommendations for treatment of the pelvic/acetabular and ankle injury?

Pelvic Xrays - Click to Magnify

Pelvic CT - Click to Magnify

Acetabular CT - Click to Magnify

Ankle Xray - Click to Magnify

Kind regards,

Carel Goslings

J.C. Goslings, MD, PhD
Academic Medical Center, Trauma Unit Dept. Surgery
Amsterdam, The Netherlands


Reply at: Orthopaedic Trauma Association forum