Date: Fri, 2 Aug 2002 16:35:10 +0530

Subject: Ununited radial neck fracture in a child

I am presenting this case on behalf of my Orthopaedic friend Dr V I Simon. Kindly give your opinion on management.

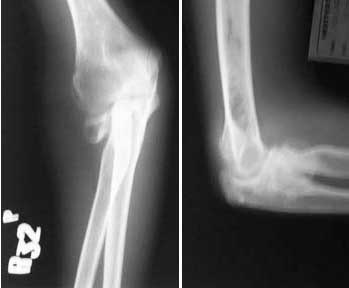
14 year old boy presented with pain and deformity of right elbow. History of injury to right elbow four years back for which he was operated and immobilised in an above elbow cast.

Examination showed surgical scar posterolateral to proximal forearm. Minimal tenderness and crepitus over the radial head area. Cubitus valgus present. Movements: Terminal flexion and extension limited. Last 30 degrees of supination and 20 degrees of pronation restricted. Forearm shortened by 2cm and radial styloid proximal by 1 cm compared to opposite side.

Patient had an immediate post op x-ray which showed a well positioned radial head in a pop cast. Present clinical picture and x-ray attached.

Dr.T.I. George, Consultant Orthopaedic Surgeon,
Polytrauma, Microvascular Surgery And Hand Surgery Unit,
Metropolitan Hospital, Trichur, S.India.


Reply at: Orthopaedic Trauma Association forum

Date: Sun, 4 Aug 2002 09:45:18 +0100

From: Peter Hamilton

Do you have an XR of the wrist ?

PH


Date: Mon, 5 Aug 2002 01:05:36 +0530

From: DR T I GEORGE

Sorry. No.

Dr.T.I. George, Consultant Orthopaedic Surgeon,
Polytrauma, Microvascular Surgery And Hand Surgery Unit,
Metropolitan Hospital, Trichur, S.India.


Date: Mon, 05 Aug 2002 15:27:32 -0400

From: Kathryn Cramer

1. The child's motion seems reasonable (photo shows extension that is decent, the paragraph states he has limitations at extremes only and the pro-sup reported is not too bad. Is this his dominant hand?

2. Initial pre and post op films would be great to see, if available.

3. No radiographs of wrist for review ---is child symptomatic at the wrist? Is DRUJ disrupted because of length asymmetry? Are physes closed? Bone age?

With AVN evident already (if it really is---pictures weren't great quality) ORIF likely will be slow to heal and patient may remain symptomatic secondary to the AVN even if healing occurs. Resection of the radial head after maturity likely to relieve pain but will result in some loss of strength

Kathryn Cramer, MD
Pediatric Orthopaedic Trauma
Wayne State Univ Schl of Medicine
Detroit, MI


Date: Thursday, August 08, 2002 5:32 PM

From: Charles Mehlman

In the absence of efforts at OPEN REDUCTION - such nonunion complications of radial neck fractures in kids are incredibly rare.

I have been unable to find a single case report of this in kids.

I am bothered by some of the other radiodense and radiolucent areas on the x-ray - INFECTION is certainly one important thing that can cause nonunion to occur. The additional question is how much AVN is also present in this particular patient.

I would stay GOAL FOCUSED in this patient - IS PAIN THE MAIN THING? IS ELBOW INSTABILITY THE MAIN THING? If I saw evidence that the radial shaft was impinging upon the articular surface of distal humerus, a case might be made for altering this.

Any reconstructive effort aimed at establishing union and regaining some length of the radius will almost certainly end up sacrificing motion - a risk-benefit discussion with pt/family might tip you one way versus the other.

D'Souza et al. Management of Radial Neck Fractures in Children: A Retrospective Analysis of 100 Pts. J Pediatr Orthop 1993;13:232-238.
Cobb TK & Beckenbaugh RD. Nonunion of the Radial Neck Following Fracture of the Radial Head & Neck: Case Reports and a Review of the Literature. Orthopedics 1998;21:364-368. [this is a paper about 3 adults]