Date: Mon, 16 Feb 2004 19:44:05 +0530

Subject: Ununited Galeazzi injury with implant failure.

From: tigeorge

Friends,

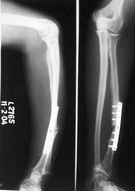
This is a case of ununited Galeazzi injury with implant failure in a middle aged healthy adult male. Patient suffered this injury four years ago and was operated elsewhere. He was later advised bonegrafting which he did not comply with. At present he has pain and deformity. Also the implant has given way with breakage of screws in the proximal part and DRUJ disruption. I would welcome your opinion on further management: 1) On implant removal, specially the broken screws, 2) Type of fixation and 3) DRUJ management.

Dr. T. I.George
Head of Ortho Unit III
Little Flower Hospital
Angamaly, India


Reply at: Orthopaedic Trauma Association forum

Date: Tue, 17 Feb 2004 00:04:50 EST

From: Aobonedoc

I would welcome your opinion on further management: 1) On implant removal, specially the broken screws, 2) Type of fixation and 3) DRUJ management.:

1. remove implant and leave the screws. 2. repeat plate and screw fixation, I most likely would use a locked plating system with bone graft. 3. DRUJ: reduction and pin fixation if needed.

Sincerely and respectively,

M. Bryan Neal, MD
Arlington Orthopedics and Hand Surgery Specialists, Ltd.
Arlington Heights, Illinois 60005