Date: Sat, 15 Nov 2003 00:06:55 +0530

Subject: Tumor vs. Fracture

From: tigeorge

Friends,

I invite your kindand learned opinion on this case.

HISTORY: 25 year old engineer presented with a swelling right foot in the region of 2nd MTP joint. He noticed this swelling about three months ago following which a POP cast was applied elsewhere presumably under the diagnosis of a fracture. On removal of cast the swelling was persisting and may be was a bit more prominent. He gives h/o multiple ulcers in both the feet for which a diagnosis of trophic ulcers were made.

This patient was diagnosed be deaf at the age of three years following which he underwent intensive speech therapy and is able to hear and speak using hearing aids.

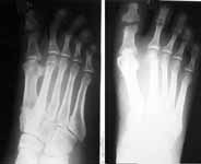
His younger brother was diagnosed to have "Genetic neuropathy" when he developed trophic ulcers. This brother subsequently developed a similar swelling which was finally diagnosed (after the initial diagnosis of fracture) to be a calcified chondroma and a second toe ray amputation was done few years ago. He subsequently lost first toe on the same foot following trophic ulcers. Strong family history of consanguinity in the parents. I am attaching three serial X rays of lastfour months. Is it a tumour around 2nd metatarsal or is it a healing stress fracture?? Thanks in advance.

Aug 2003
Oct 2003
Nov 2003

I will be happy to hear the group's thoughts on stabilising the forearm especially the distal radioulnar joint.

Thanks in advance

DR T I GEORGE.

Head of Orthopaedics Unit III
Little Flower Hospital,
Angamaly, Kerala State, India.


Reply at: Orthopaedic Trauma Association forum

Date: Fri, 14 Nov 2003 17:43:34 -0700

From: Terry Finlayson

Looking at the sequential radiographs, I would say this is a healing fracture. The question is whether there is something going on that predisposed the metatarsal to fracture (i.e., tumor, infection, neuropathy,etc.). I would initiate vascular workup (arterial and venous), infection workup (CBC with differential, ESR, C-reactive protein),diabetes mellitus/neuropathy workup and follow the fracture healing. At some point an MRI may be helpful, but at this point you'll just see a large reactive zone (inflammation) due to the fracture healing and I doubt it would help narrow the diagnostic possibilities. I'm sure there is better advice out there. Good Luck!

Terry I. Finlayson, MD
Alpine Orthopaedic Specialists
Logan, UT


Date: Fri, 14 Nov 2003 20:55:11 EST

From: Aobonedoc

I think its a healing fracture but the history just does not add up right.

Sincerely and respectively,

M. Bryan Neal, MD
Arlington Orthopedics and Hand Surgery Specialists, Ltd.
Arlington Heights, Illinois 60005