Date: Thu, 10 Apr 2003 01:13:40 +0530

Subject: Sub total amputation hand

This is the case of an young adult involved in an industrial accident. Subtotal amputation with lots of tissue loss. Both radial and ulnar artery divided with loss of segments. Both median and ulnar nerves divided with loss of segments.All flexor tendons divided with loss of tissue. Extensors to thumb divided with loss of tissue. Extensor digitorum in continuity. Loss of segment of radius. Loss of carpal bones. Skin bridge on ulnar border intact with a collateral blood supply to hand. What will be the consensus? Amputation with early prosthesis or limb salvage with all the attended risks and prolonged and multi staged procedures with unpredictable outcome and finally a possibility of a cosmetic hand? Will be happy to know the views.

Dr.T.I. George, Consultant Orthopaedic Surgeon,
Polytrauma, Microvascular Surgery And Hand Surgery Unit,
Metropolitan Hospital, Trichur, S.India.


Reply at: Orthopaedic Trauma Association forum

Date: Thur, 10 April 2003 00:05:02 -0600

From: Bill Burman

George

This looks urgent. Since there are no replies I feel I better say something (even if it comes from an orthopaedic couch potato).

Click here for Urbaniak's general remarks about replant indication and contraindication

If the hand is not crushed or subject to prolonged warm ischemia, after debridement of segmental soft tissue injuries, consideration might be given to:

I'll copy Ed Harvey from McGill (an ex-Urbaniak fellow) and the AAST list to see if this can rustle up some better opinions.

Bill Burman, MD
HWB Foundation

Date: Thu, 10 Apr 2003 00:48:58 EDT

From: Aobonedoc

Severe bone loss. Thumb fracture. Missing most of wrist joint. terrible nerve injury. Tremendous soft tissue defect.

Amputation is my choice.

Sincerely and respectively,

M. Bryan Neal, MD
Arlington Orthopedics and Hand Surgery Specialists, Ltd.
Arlington Heights, Illinois 60005


Date: Thu, 10 Apr 2003 08:30:19 -0500

From: Frederic B. Wilson, M.D.

I agree. I think that this case illustrates well the concept of "zone of injury". These presumably acute trauma films do not adequately convey the full extent of the damage. Very interested to hear what other Hand and Upper Extremity folks think also.

Frederic B. Wilson, M.D.
Assistant Professor
Trauma and Adult Reconstruction
Department of Orthopaedic Surgery
Tulane University School of Medicine
New Orleans, LA, 70112


From: edward harvey

Date: Thu, 10 Apr 2003 20:54:18 -0400

I am unsure of the warm ischemia time for this patient but from the clinical pictures I suspect he also had some amount of avulsion injury. This is a segmental problem at multiple sites: nerves bone and tendons. The soft tissue loss would not bother me because it is no problem with shortening and transfers- however his segmental loss of the flexors at the musculotendinous junction is a poor prognostic sign in light of all the other trauma. Median and ulnar nerve another bad sign. I have no idea of the patients social history or whether he would rather have a stiff insensate nonfunctioning hand rather than an amputation.

Roundabout way of saying amputation is probably best for this patient.

Edward J Harvey MDCM MSc FRCSC
Chief of Hand and Microvascular Surgery
Chief of Orthopedic Trauma
Medical Director: Fracture/Bone Metabolism
Jo Miller Research Laboratories
McGill University -MUHC
Montreal General Site
Montreal Qc H3G 1A4


Date: Fri, 11 Apr 2003 15:21:44 +0530

Subject: Re: Sub total amputation hand.

Thanks for the input.

Social background : manual worker, does not have social security schemes. Employer may be financing current treatment, but does not know how long that would last.

Warm ischaemia: Four hours at presentation. But had some capillary perfusion of hand through some collateral through the small skin bridge.

I will discuss our decision making dilemma after further inputs/discussions if any.

Dr.T.I. George, Consultant Orthopaedic Surgeon,
Polytrauma, Microvascular Surgery And Hand Surgery Unit,
Metropolitan Hospital, Trichur, S.India.


Date: Tue, 15 Apr 2003 18:46:38 +0530

From: DR T I GEORGE

Friends, this is what we did. I would welcome further comments.

Our considerations were twofold.

i) Surgical considerations: this was a hand which could be salvaged by either shortening, primary revascularisation of hand along with reconstruction of rest of the tissues or by keeping a vascularised fibula to reconstruct radius followed by reconstruction of lost segments of other tissues and cover by a microvascular free flap. This has to be followed by a staged prolonged rehabiltation protocol to enable him to have some amount of useful function.
ii) Social considerations: this hand belonged to a manual worker who had no social security systems to support him other than the goodwill of the employer and relatives. Time and again we have seen such cases where initial enthusiasm to save the extremity is gradually lost on the supporting group and the patient at the end is probably more miscerable with a salvaged extremity. He could be much better following an amputation and an early prosthetic fitting that might enable him to return for some activities that might earn a livlihood.

Our advice: An amputation and early prosthetic fitting which would enable him to return to some work in a few months time.

Our dilemma: This was a subtotal amputation and this meant there was some attachment of tissues to the distal part and without a legal consent we cannot remove it. Moreover this case was referred to our centre for salvage from elsewhere which means both the patient and relatives were not easily prepared to accept an amputation.

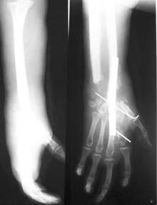
After extensive discussion we were given consent for salvage and not amputation. This is what we have done:

Shortened ulna and stabilised to hand using K wires. First metacarpal axially stabilised.

Primary anastomosis of vessels, tendons and nerves. Volar skin partially primarily closed and rest with a microvascular grascilus free flap to cover dorsolateral aspect. Split skin graft to cover the muscle.

At the moment the hand is vascular and patient okay.

Between my microvascular colleague and myself we know that this is just the begining of a long journey. We are prepared to travel with the patient though we may be in different centres in a short time. But how long the patient and his supporters will travel with us remains to be seen.

I hope to get your comments.

Dr.T.I. George, Consultant Orthopaedic Surgeon,
Polytrauma, Microvascular Surgery And Hand Surgery Unit,
Metropolitan Hospital, Trichur, S.India.


Date: Sat, 19 Apr 2003 13:19:51 -0400

From: James Carr

Any type of functioning hand is better than a prosthesis. Nice job.

Jim Carr


Date: Sun, 20 Apr 2003 09:19:27 +0530

From: DR T I GEORGE

Thanks Jim.

That was a real consoling comment.

Like I had stated earlier salvage was not our first option. But in situations like this we do not have all the time in the world to take a decision.

I would recall one of the earlier discussion of a case.

There was a good discussion at that time on upper limb abaltion and it was pointed out that any hand of patient's own is better than the best available prosthesis. However till the date the patient has got a useful hand the surgical team has a nightmare to sleep with.

Thanks once again.

Dr.T.I. George, Consultant Orthopaedic Surgeon,
Polytrauma, Microvascular Surgery And Hand Surgery Unit,
Metropolitan Hospital, Trichur, S.India.


Date: Mon, 21 Apr 2003 08:21:11 -0400

From: James Carr

You are welcome- keep up with the awesome cases

James B. Carr, MD
Palmetto Health Orthopedics


Date: Sun, 07 Sep 2003 22:33:30 +0530

From: tigeorge

Friends,

I would like to give a 5 month follow up of this case.

At about two months post initial surgery, fingers were mobilised and a formal wrist arthrodesis was done along with resection of distal ulna to give some rotational movement of forearm. He was given an eight week immobilisation of wrist and then further mobilisation of fingers were given. Some of present functional pictures are attached. In the meantime the original team which treated this patient has moved out of the centre to different parts of the globe and he is continuing follow up with the available team member in this country. May be patient's persistence has given the result thus far.

Would welcome your valuable comments.

DR T I GEORGE
Head of Ortho Unit III
Little Flower Hospital
Angamaly, Kerala, India.