Date: Thu, 19 Sep 2002 20:59:03 +0530

Subject: Comminuted fracture distal end forearm

I would be happy to get the list opinion on how you would have managed this case.

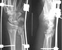
40 year old bank clerk fell down from a height and suffered this closed injury to the dominant upper limb. On presentation he had numbness in the fingers pertaining to the median nerve area. Since there was a suggestion of nerve compression I have initiated the initial treatment. Would like to get your views on management. I will present what I have done after the discussion.

Attaching the initial X-ray.

Dr.T.I. George, Consultant Orthopaedic Surgeon,
Polytrauma, Microvascular Surgery And Hand Surgery Unit,
Metropolitan Hospital, Trichur, S.India.


Reply at: Orthopaedic Trauma Association forum

Date: Thu, 19 Sep 2002 21:46:00 EDT

From: Aobonedoc

Reduction under c-arm, pins distally with ex-fix, +/- transverse carpal ligament release.

Sincerely and respectively,

M. Bryan Neal, MD
Arlington Orthopedics and Hand Surgery Specialists, Ltd.
1100 W. Central Road, Suite 304
Arlington Heights, Illinois 60005


Date: Fri, 20 Sep 2002 10:44:33 +0300

From: Anton V. Vladzimirskiy

External fixation by Ilizarov. We have a lot of the same patients with good results. Maybe (after a few day in distraction) you need to remove a few nonviable fragments and make autoplasty.

Best wishes,

dr. Anton Vladzymyrskyy
Head of Department of Informatics and Telemedicine
Department of Polytrauma
R&D Institute of Traumatology and Orthopedy
Donetsk, Ukraine


Date: Mon, 23 Sep 2002 20:46:47 +0530

From: DR T I GEORGE

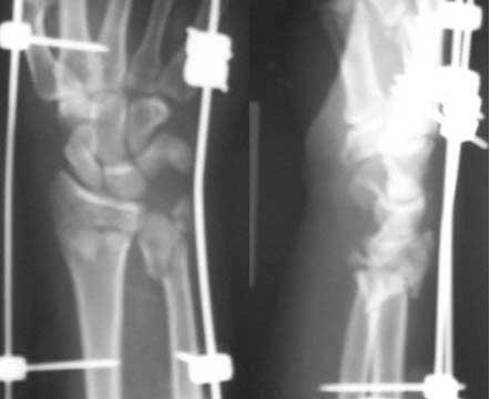
Thank you all for the encouraging participation in discussing this case. This is what I have done: I had doubt on the carpal bone involvement and a 3DCT scanwas done and this ruled it out. Patient was immediately taken up and a closed manipulation with ligamentotaxis using JESS/ UMEX (I really do not know the difference between the two, advantages / disadvantages except that UMEX is slightly coslty) under image intensifier was done. The picture is attched for your viewing. Subsequently I have added two diagonal connecting rods between the two sides to add stability. Lots and lots of elevation, mobilisation of fingers, elbow and shoulder etc done. The numbness in the median nerve area has improved significantly. This week it will be three weeks and the swelling is settled to a large extent. I am planning an elective cancellous bone grafting to the comminuted area with additional K wires as suggested by many list members and my colleagues. Would welcome further comments.

Dr.T.I. George, Consultant Orthopaedic Surgeon,
Polytrauma, Microvascular Surgery And Hand Surgery Unit,
Metropolitan Hospital, Trichur, S.India.