Date: Wed, 23 Jan 2002 20:14:59 -0500

Subject: Comminuted Elbow Fx

From: Charles Blitzer

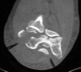
Images are of 59 yo female with low, comminuted distal humerus fx with fragments free posteriorly, high degree of comminution laterally plus involvement of the medial condyle.

Any thoughts re: management are appreciated. Approach to allow access and fixation medially as well as anterior & posterior. Total elbow arthroplasty ?

Charles Blitzer


Reply at: Orthopaedic Trauma Association forum

Date: Thu, 24 Jan 2002 15:58:32 -0600

From: Steven Rabin

at 59 years old, i would opt for ORIF. i would use a posterior approach with olecranon osteotomy - double plating with plates perpendicular to each other - with the goal being anatomic restoration and stable fixation for early motion to minimize stiffness. It is hard to say more since I would want to see more of the radiographic studies for preoperative planning. (ie, at least the AP x-ray, and probably at least a few more of the CT images). From what I can see, i think the main fragments are large enough for stable fixation. If not, the fixation might need supplementation with one of the hinged external fixators. i think the large anterior fragment seen on the lateral view is the capitellum and it would have to be retrieved. i think it would be possible with the posterior approach, but that is where access to more imaging would be helpful.

good luck

steve rabin
loyola


Date: Fri, 25 Jan 2002 07:34:45 -0700

From: Thomas A. DeCoster

I don't know that you will be able to obtain anatomic reduction or stable fixation of all of the pieces but that approach is preferable to total elbow arthroplasty. In addition to using a hinged external fixator to supplement your internal fixation sometime absorbable pins (orthopsorb eg) and/or excising small fragments can be helpful.

tom decoster