Date: Sat, 30 Oct 2004 10:13:26 -0700
From: Zsolt Balogh
Subject: Open supracondylar femur fx
Dear List,
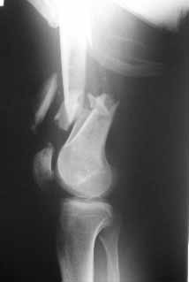
What would be your method of choice to fix this Gr IIIa open high energy supracondylar femur fx, neuro vasculary intact. 30YO male MBA hemodynamically stable, no chest injuries. Right temporal bone fx, no IC bleeding on the head CT. Images attached.
![]() |
![]() |
![]() |
Best Regards,
Zsolt Balogh, MD
Trauma Surgeon
Szeged, Hungary
Date: Sat, 30 Oct 2004 12:19:11 -0500
From: Adam J. Starr, M.D.
Hello Dr. Balogh.
My choice would be to do give the patient antibiotics, do a thorough I&D, and reduce and stabilize the fracture with a locking plate, such as a LISS.
Good luck.
Adam Starr
Dallas
Date: Sat, 30 Oct 2004 13:59:25 -0400
From: Bruce P. Meinhard
Irrigate, Debride, Prophylactic Antibiotics, Anti-tetanus Prophylaxis, ORIF with LISS Plate or equivalent device ( Blade Plate or Dynamic Hip Screw).
Date: Sat, 30 Oct 2004 15:39:51 -0500
From: Frederic B. Wilson, M.D.
Dear Zsolt,
I would I&D the wound, removing only obviously devitalized tissue and bone. I would probably also opt for temporary stabilization with a spanning External Fixator.
On second washout I would stabilize the intercondylar split with cannulated lagged screws and apply a Femoral LISS plate through a small incision.
Fred
Frederic B. Wilson, M.D. Trauma & Adult Reconstruction
ETMC First Physicians - Orthopaedic Clinic
700 Olympic Plaza Circle, Suite 510
Tyler, TX
Date: Sun, 31 Oct 2004 00:12:58 +0600
From: Alexander Chelnokov Hello Zsolt,
ZB> What would be your method of choice to fix this Gr IIIa open
high energy supracondylar femur fx, neuro vasculary intact. 30YO
male MBA hemodynamically stable, no chest injuries. Right temporal
Antegrade closed locked nailing works very fine for such a fracture
pattern in our settings. Same must be about retrograde. Maybe after a
period of ex-fix and soft tissue healing - depends on the wound
condition and local protocols.
Dear colleagues who prefer LISS or other plate for the case - why?
Best regards,
Alexander N. Chelnokov
Date: Sat, 30 Oct 2004 15:46:18 -0500
From: Frederic B. Wilson, M.D.
Alex,
Re LISS: Easier. Less difficulty with controlling the intercondylar segment.
No further damage to the knee joint (retrograde). No involvement of the hip
area (antegrade). Better options for controlling Varus/valgus,
procurvatum/recurvatum at the fracture with this segmental defect.
Fred
Frederic B. Wilson, M.D. Trauma & Adult Reconstruction
Date: Sat, 30 Oct 2004 17:49:17 EDT
From: Tadabq
perfect for retrograde nail + lag screw with this large a distal fragment and
this much meta-diaphyseal comminution and this degree of soft tissue injury.
after treatment of open fracture
MUCH less muscle dissection laterally and at
the very comminuted distal diaphysis, equal tobetter fixation with less blood
loss, probably better early motion and earlier weight bearing. IF you do have a
problem it will be easier to handle than if LISS or other plate fails.
TD
Date: Sun, 31 Oct 2004 09:53:25 +0500 From: Alexander Chelnokov Hello Fred, FBWMD> Re LISS: Easier. AFAIR there are specific
pitfalls of the technique. FBWMD> Less difficulty with controlling the intercondylar segment. Temporary wires solve the problem. FBWMD> No further damage to the knee joint (retrograde). Do you really mean tissue dissection needed for the plate placement provides
no further damage of the joint and periarticular structures? FBWMD> No involvement of the hip area (antegrade). This hardly ever is of great importance for a case like this. BTW modern
nail design for lateral insertion minimizes the involvement. FBWMD> Better options for controlling Varus/valgus, procurvatum/recurvatum
at the fracture with this segmental defect. Using of some wires secured to the Ilizarov ring or arc provides any
needed control. Dynamization can also be a useful option.
Best regards,
Alexander N. Chelnokov
Date: Sun, 31 Oct 2004 19:21:27 +0000
From: aobonedoc
Pulsatile I&D, perc can screws to maintain reduced condyles, spanning ex-fix
across knee joint. repeat in 48 hours, I&D when definitive fixation possible
based on wound, probable retrograde nailing, accepting risk of condyle
displacement and careful attention to screw placement initially (if done at a
seperate time of IM nailing). I would probably supplement with BMP (but this is
$5,000). --
Sincerely and respectively,
M. Bryan Neal, MD
Date: Sun, 31 Oct 2004 12:47:07 -0800
From: Sean E. Nork
Perhaps this can fixed with a relatively inexpensive implant such as a 95 degree angled blade plate
after reduction and stabilization of the intercondylar component of the fracture
with strategically placed lag screws. If indirect reduction techniques are used,
this is still likely to heal (ala Bolhofner) without bone graft.
Sean
Sean E. Nork, MD
Date: Sun, 31 Oct 2004 18:25:40 -0700
From: Terry Finlayson
I would make a strong argument that lateral soft tissue dissection for
plate placement (especially since debridement of open fracture is necessary
anyway) is much less damaging to the articular surface than a retrograde
nail.
Also, even though antegrade nailing is possible, all the discussion about
using Ilizarov wires, rings and/or arcs takes this method from the realm of
straightforward to the complex IMHO.
I think retrograde IM nail is a good option, but one needs to be sure that
the fracture is out to length with this comminuted metaphysis.
I have used 95 degree blade plates, condylar screws w/ side plate, supracondylar nails,
long retrograde
IM nails and now, more recently the locking anatomic plate. The locking plate technology is a big
step forward in my hands to achieve better reduction and more stable fixation
while preserving blood supply in these fractures.
Terry I. Finlayson, M.D.
Date: Mon, 1 Nov 2004 22:55:38 +0500 From: Alexander Chelnokov Hello Terry, TF> I would make a strong argument that lateral soft tissue dissection
for plate placement (especially since debridement of open fracture is necessary
anyway) is much less damaging to the articular surface than a retrograde A stab wound and 10-12 mm hole in the intercondlar notch AFAIK doesn't
create any obvious problem. I am not sure about the wound and muscles after
LISS. TF> Also, even though antegrade nailing is possible, all the discussion
about using Ilizarov wires, rings and/or arcs takes this method from the
realm of straightforward to the complex IMHO. The complexity is mostly in our minds, and anyway outside the femur.
When the nail is in place nobody would guess how one has reached so perfect
reduction ;-) I know about a problem that rings in the US are single use so such approach
can be of unacceptable high cost. But really the technique expands our capabilities
comparatively to standard half-pin distractors. TF> I think retrograde IM nail is a good option, but one needs
to be sure that the fracture is out to length with this comminuted metaphysis. No such need with LISS? TF> forward in my hands to achieve better reduction and more stable
fixation while preserving blood supply in these fractures. I can't realize its advantages for cases where open reduction of articular
surface is not necessary. It looks much more invasive than closed nail.
And any plate has its inherent flaw - lateral placement leads to breakage
in case of delayed union/nonunion.
Best regards,
Alexander N. Chelnokov
Date: Mon, 1 Nov 2004 00:27:04 -0800
From: tim kavanaugh
Hi,
Having trained under orthopaedic traumatologists in residency I have a huge
amount of respect for the opinions that have been recorded on this topic. Since I
have been in private practice for over two years now, I know how this would be
treated. In private practice this would get cannulated screws across the
intra-articular component and a retrograde nail. This is a no brainer. All of the
opinions about the LISS plate are great, but if you dont have residents, this
takes too much time. No one can argue about the healing potential of a retrograde
nail in this situation.
Tim Kavanaugh MD
Date: Wed, 3 Nov 2004 00:26:39 -0600
From: Frederic B. Wilson, M.D.
Tim,
Level I Trauma Center, ETMC in Tyler Texas. No residents. This is about a
30-40 minute case for us. More stable, less worry about varus/valgus toggle,
less damage to the knee joint.
Fred
Frederic B. Wilson, M.D. Trauma & Adult Reconstruction
Date: Wed, 3 Nov 2004 10:06:20 -0800
From: Chip Routt
Tim-
You've recommended a technique in Alaska based on perceived technical speed??
Would you choose/advocate that for your surgeon...your surgeon chooses your
operation based on how fast he/she can accomplish the procedure?
Do you also suggest that we speed the irrigation because one liter is faster
than six or twelve? Do you advocate that we limit the debridement to the easily
visualized field because extending the wound margins to further explore would
take more time? If speed is the focus, why advocate cannulated screws...why not
just sling in a few cheaper screws? Chop-chop!
Please consider the patient management based on quality of care principles
(debridement, reduction, stability, wound management, rehab) rather than
operative speed and resident allocations.
We learned a long time ago that a fast operation/surgeon does not necessarily
reflect improved surgical skill and result. We also know that an expensive
implant does not always equal a good implant.
Surgery should not be a race, unless we have a patient in a dire situation.
Many surgeons also realize that helping residents-in-training learn how to
care for patients does not necessarily facilitate an operative event.
Let's accept that we're all trying to be efficient, but please don't lose
sight of the patient and his/her situation.
There are numerous ways to successfully treat this patient's open femur
fracture, and each method has its own issues and benefits.
Wound and fracture debridement, articular reduction, axial alignment and
rotation, and stability must be prioritized, and in turn should diminish
infection risk and speed recovery.
A planed and methodical initial operation likely avoids subsequent
"corrective/recovery" procedures.
Quality-
Chip
M.L. Chip Routt, Jr.,M.D.
Date: 10/31/2004, 12:13 From Zsolt Balogh @ http://weborto.net/ Dear Alex, This is what we have done... As generally true for LISS look at the bone
not the hardware. There are two more screws above. The one not completely
in got damaged head. Zsolt
Ural Scientific Institute of Traumatology and Orthopaedics
str.Bankovsky, 7. Ekaterinburg 620014 Russia
ETMC First Physicians - Orthopaedic Clinic
700 Olympic Plaza Circle, Suite 510
Tyler, TX
Ural Scientific Institute of Traumatology and Orthopaedics
str.Bankovsky, 7. Ekaterinburg 620014 Russia
Arlington Orthopedics and Hand Surgery Specialists, Ltd.
Arlington Heights, Illinois 60005
Dept Orthopaedic Surgery
Harborview Medical Center
Logan, UT USA
Ural Scientific Institute of Traumatology and Orthopaedics
str.Bankovsky, 7. Ekaterinburg 620014 Russia
Anchorage, AK
ETMC First Physicians - Orthopaedic Clinic
700 Olympic Plaza Circle, Suite 510
Tyler, TX
Professor-Orthopedic Surgery
Harborview Medical Center
Seattle, WA 98104-2499

