Date: Thu, 04 Oct 2001 22:01:07 +0300

From: Mehmet Arazi

Subject: Pelvic fx in 3 y-o girl

Dear list members:

As you know unstable pelvic fx are rarely seen in children. There are few studies in the literature regarding the operative treatment and late results of these injuries. Therefore we try to treat these fx with some difficulties.

I would like to learn your treatment opinions about this case:

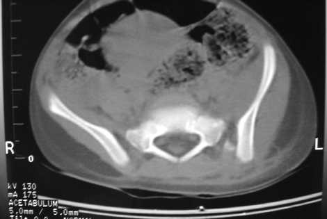
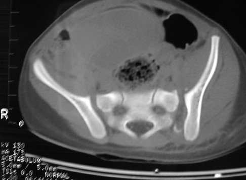
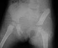
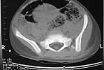
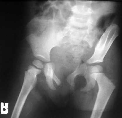
A 3 y-old girl, injured by after a traffic accident, no other skeletal and organ injuries. She was in skeletal traction now and initial, after skeletal traction AP views and CT scans of the pelvis were attached.

Thank you in advance.

Mehmet Arazi, MD
Orthop & Trauma Surgeon, Lecturer
Konya, TURKIYE



Reply at: Orthopaedic Trauma Association forum

Date: Thu, 04 Oct 2001 14:08:44 -0500

From: Adam Starr

Hi. Dr. Arazi.

Wade Smith from Denver has a series of pediatric pelvic fractures that his group followed for some time - presented at last year's OTA meeting in San Antonio.

Maybe Wade can chime in here, but the thing I remember about his study was that the kids did NOT remodel and spontaneously correct their pelvic deformities. The message I got was that, if the kid has a badly aligned pelvis, then they'd wind up with a pelvic malunion.

Remodeling is a wonderful thing, and growth plates let kids "get away" with poor reductions all the time. But I don't think the literature supports the idea that pelvic mal-alignment will correct itself.

The next question, I guess, is - does it matter? Will this little kid's outcome 10 years from now (or 20 years from now) be any different if she heals the way she is or if you fix her?

I don't know the answer to that question.

Sorry I can't give you more info. Good luck.

Adam Starr
Dallas, Texas


Date: Thu, 04 Oct 2001 13:50:57 -0700

From: Chip Routt

Maybe perform an exam under anesthesia and fluoroscopy to clearly identify the injury zone(s) and their associated instabilities. Then attempt your best manipulative closed reduction under fluoroscopy.

Then you have information.

Definitive treatment will depend on the exam, the reduction, the other radiographic images that we haven't seen, and your available resources.

Chip


Date: Thu, 04 Oct 2001 17:16:00 -0400

From: Charles Mehlman

I would echo Dr Routt's point...

An effort at reduction - perhaps a little "figure 4" position (or FABRE position) if you prefer - may be all that is needed to significantly improve reduction before spica cast immobilization.

Charles T Mehlman, DO, MPH
Assistant Professor Pediatric Orthopaedic Surgery
Division of Pediatric Orthopaedic Surgery
Children's Hospital Medical Center Cincinnati


Date: Thu, 4 Oct 2001 22:20:07 -0400

From: E F Barrick

I have had two pediatric pelvic ring disruptions wth dislocation of the SI joint as in your case. A 4 year old and a 7 year old. I found that open reduction, as recommended by Tile, was needed in both with 4.5 mm cannulated iliosacral screws.

E. Frederick Barrick, MD
Director of Orthopaedic Trauma
Inova Fairfax Hospital
Falls Church, VA 22042


Date: Fri, 05 Oct 2001 11:10:52 +0200

From: victor

In the Netherlands Minne Heeg and myself have a patient series of aboout 35 children with a follow up average of 15 years now. I totally concur with Adam Starr and Chip Routt, the children pelvis should be reduced as if it were a adult pelvis, as exact as possible because it does not remodel. We have a number of patient with a nonop or mediocre primary treatment and a very bad malunited end result, with lots of static and dynamic pelvic and lower lumbar problems, which are very hard to correct when they are full grown.

Suggest investigate the pelvis under full anesthesia and reduce/fix with what ever it needs to keep it corrected, even internal fixation.

Gr from Holland,

Victor de Ridder


Date: Fri, 05 Oct 2001 09:14:52 +0000

From: b.meinhard

I believe as best an anatomic reduction possible is indicated, and for the fracture presented, we would probably place an IS screw, and make the patient bed to chair for 8 weeks after surgery then weight bearing as tolerated thereafter. We have done a number of such skeletally immature patients with good functional and xray results.

BPM