Date: Thu, 27 May 2004 17:37:06 +0600

From: Alexander Chelnokov

Subject: Femur Supracondylar Periprosthetic fracture

Hello All,

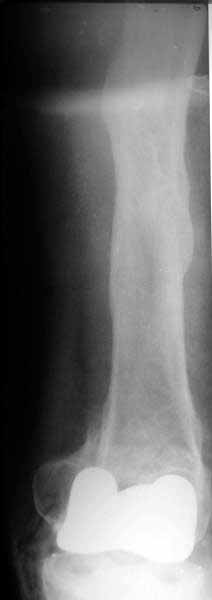
A male 41 years old transferred to our unit with 3 week old femoral fracture near the knee prosthesis after a mimimal fall. In 1994 he sustained multiple injury with open patella fracture (complicated with septic arthritis), and ipsilateral femoral shaft fracture treated by ex-fix.

TKA performed in 1998. In 2001 he got a periprosthetic fracture which was treated nonoperatively and healed with ~1 cm dorsal displacement of the distal femoral block. Knee ROM prior the recent injury was about 90-95 degrees. He didn't use walking aid.

Images attached.

I request your suggestions regarding surgical options in the situation? We mostly discuss ante- vs retrograde closed nailing.

Best regards,

Alexander N. Chelnokov
Ural Scientific Institute of Traumatology and Orthopaedics
str.Bankovsky, 7. Ekaterinburg 620014 Russia


Reply at: Orthopaedic Trauma Association forum

Date: Thu, 27 May 2004 06:44:33 -0700

From: John Ruth

I would favor a peri-articular locking plate (Synthes LISS or Locking condylar plate) or an old-fashioned blade plate.


Date: Fri, 28 May 2004 13:23:34 +0600

From: Alexander Chelnokov

Hello John,

JR> I would favor a peri-articular locking plate (Synthes LISS or Locking condylar plate) or an old-fashioned blade plate.

Why not a nail? The femur is scarred already, and i suspect open mobilization would be a demanding procedure. I plan to apply a distractor and perform closed reduction.

Best regards,

Alexander N. Chelnokov
Ural Scientific Institute of Traumatology and Orthopaedics
str.Bankovsky, 7. Ekaterinburg 620014 Russia


Date: Fri, 28 May 2004 07:03:59 -0700

From: John Ruth

The fracture is quite distal and the bone in this region is osteopenic. This poor bone quality does not allow for good purchase of the distal locking screws and therefore poor varus/valgus stability. The locking plates are much better at providing this stability in osteopenic bone.


Date: Fri, 28 May 2004 11:04:37 EDT

From: Tadabq

Alex

Do you think the femoral component is solidly fixed or loose?

I think retrograde nails through total knees give good distal fixation. I'm not sure what kind of TK prosthesis but nearly all of the designs in the US have a big enough space to accept a 10 mm retrograde nail between the condlyles of the total knee. My concern in this case would be the deformity of the old fractures might not allow for a straight nail butmight be more amenable to a lockingplate; or particularly in Russia, XF.

TD


Date: Sat, 29 May 2004 11:55:31 +0600

From: Alexander Chelnokov

Hello Tom,

TAC> Do you think the femoral component is solidly fixed or loose?

There were no signs of loosening prior the recent fracture.

TAC> I think retrograde nails through total knees give good distal fixation. I'm not sure what kind of TK prosthesis

AFAIK it is Corin (UK).

TAC> but nearly all of the designs in the US have a big enough space to accept a 10 mm retrograde nail between the condlyles of the

The patient is about 100 kg, so a thicker nail would be favourable... I am not certain about whether a thicker nail can be inserted through the notch, and it seems to me cruciate ligaments are at risk.

TAC> My concern in this case would be the deformity of the old fractures might not allow for a straight nail but might be more amenable to a locking plate;

Locking plates are still not available in our unit. And at recent EuroTrauma 2004 i've just heard a very good presentation of D. Seligson from the US about distal femoral fractures whrere he was a bit skeptical about lockig plates, demonstrated broken ones, and proposed that nails are still a way to go. And anyway it would be some kind of open reduction, muscle separation...

TAC> or particularly in Russia, XF.

Even here people is very restricted about XF for definitive fixation over endoprosthesis because of extremely high cost of pin/wire tract infection. So my primary plan is antegrade nailing with a solid nail. If the attempt to pass through the area of union at the shaft level is failed, i switch to the retrograde approach. Which i will try to avoid by any means because the TKA was performed in another unit and in case of problems with the implant any later it is a reason to say - you see, ortho trauma guys broke our ideally implanted knee. I suppose you realize what i mean.

Best regards,

Alexander N. Chelnokov
Ural Scientific Institute of Traumatology and Orthopaedics
str.Bankovsky, 7. Ekaterinburg 620014 Russia


Date: Sat, 29 May 2004 23:23:32 EDT

From: Tadabq

I agree with Dr. Seligson (as you mentioned) about retrograde nails being best option for distal femur fractures proximal to total knee replacement. Although longer retrograde nails are now preferred, the shorter retrograde nails still work.

I think you are unnecessarily concerned about going through the condyles of the femoral component. The ACL is already gone in this patient (clearly no tibial attachment) and the PCL (if still present) is not typically injured by retrograde nail. The surgical approach is actually quite easy andmuch easier than antegrade femoral nailing with such shaft deformity. I don't think you will injure the knee prosthesis and even if it needed revision in the future, such revision would be facilitated by a well aligned and healed supracondylar fracture.

My suggestion is that you consider retrograde nail and put the largest diameter nail that you have that fits and the longest nail that you have that fits up the deformed medullary canal. Don't perforate the cortex proximally trying to put a long straight nail in a crooked canal; just accept whatever length you can get. If it's quite short then adjust his rehabilitation accordingly with longer use of a brace, crutches and limited weight bearing.

Good luck

TD


Date: Mon, 31 May 2004 16:15:16 +0600

From: Alexander Chelnokov

Hello Tom,

TAC> My suggestion you consider retrograde nail and put the largest diameter nail that you have that fits and the longest nail that you have that fits up the deformed medullary canal. Don't perforate the cortex proximally trying to put a long straight nail in a crooked canal; just accept whatever length you can

Well, finally i still performed antegrade nailing. After the distractor was applied, reduction of the recent fracture was obtained "automagically".

But the previous fracture resulted with some posterior displacment of the distal part, so antegrade nail would pass anteriorly, and retrograde nail, even a short one, would have penetrated anterior cortex proximally to the fracture. So perQ osteotomy was necessary to add some mobility at the level, and after that the nail was easily inserted to the distal fragment. The nail is solid, 13 mm, locking screws 6 mm. Locked statically.

Comments/critics/opinions are welcome.

Best regards,

Alexander N. Chelnokov
Ural Scientific Institute of Traumatology and Orthopaedics
str.Bankovsky, 7. Ekaterinburg 620014 Russia


Date: Mon, 31 May 2004 21:52:04 EDT

From: Tadabq

Alex,

The radiographs look excellent and a good outcome would be anticipated. The idea to osteotomize the femur shaft to compensate for the prior shaft malunion was clever and should work fine. I can't actually see the osteotomy on either radiograph. Is it more proximal than we see in these radiographsor so well aligned as to be not visible? Have you tried retrograde femoral nailing? Most people find it technically easier although not necessarily better than antegrade.

TD


Date: Tue, 1 Jun 2004 08:56:34 +0600

From: Alexander Chelnokov

Hello Tom,

TAC> idea to osteotomize the femur shaft to compensate for the prior shaft malunion was clever and should work fine.

The "idea" was an emergency appeared when the nail tip proceeded to the fracture level and became targeting anteriorly to the distal fragment.

TAC> I can't actually see the osteotomy on either radiograph. Is it more proximal than we see in these radiographs or so well aligned as to be not visible?

The osteotomy was performed through the fracture site. See the attachment.

TAC> Have you tried retrograde femoral nailing? Most people find it technically easier although not necessarily better than antegrade.

No, i would have tried it if the antegrade attempt was failed.

Best regards,

Alexander N. Chelnokov
Ural Scientific Institute of Traumatology and Orthopaedics
str.Bankovsky, 7. Ekaterinburg 620014 Russia