Date: Sat, 21 Jun 2003 11:21:54 -0500

Subject: Thoracic Spine Fx

Hello All,

A male 39 years old some times rolled within a car June 12. Clinically no neurological deficit. Does the case require operative reduction/stablization? If no how would you manage the case?

THX in advance.

Best regards,

Alexander N. Chelnokov
Ural Scientific Institute of Traumatology and Orthopaedics
str.Bankovsky, 7. Ekaterinburg 620014 Russia


Reply at: Orthopaedic Trauma Association forum

Date: Sun, 22 Jun 2003 13:00:42 -0700

From: John T. Ruth

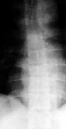
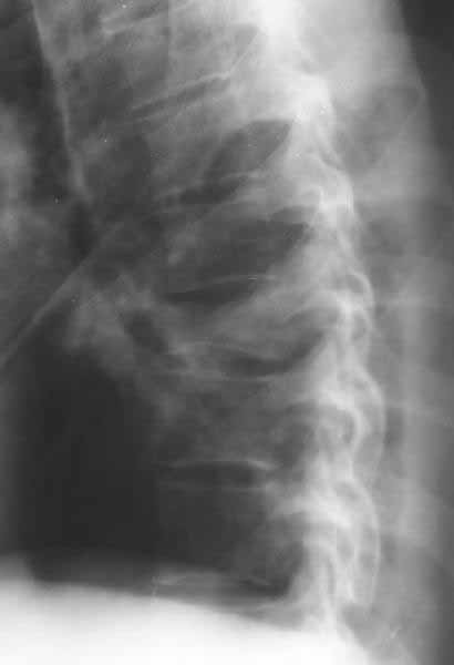
A CT would be helpful to determine if there is middle column involvement. Also it would help determine if the posterior interspinous ligament is intact (lack of interspinous widening. The available images appear to show an anterior column only injury. If other imaging tests confirm this combined with normal neurological function nonoperative treatment with a hyperextension brace or nothing is appropriate.


Date: Mon, 23 Jun 2003 00:31:23 -0700

From: Carlo Bellabarba

Agreed, except that loss of posterior vertebral body height on the lateral radiograph suggests middle column involvement as well, and therefore a diagnosis of burst fracture. This is confirmed on the AP by (albeit subtle) widening of the pedicles at the level of injury. In keeping with this diagnosis, the lateral also suggests retropulsion of fracture fragments into the canal. I concur that unless there is associated facet subluxation or interspinous widening on CT (possible, but unlikely given the well-maintained alignment and given that on the AP radiograph the spinous processes seem reasonably equidistant) this is a stable burst fracture that I would treat with a TLSO for 3 months.

Carlo Bellabarba, MD
Spine Trauma and Reconstruction
Orthopaedic Trauma
UW/Harborview Medical Center
Seattle, WA

Date: Mon, 23 Jun 2003 14:53:48 +0300

From: Dr Savvides

This presumablly is a stable compression of the body of T8 or thereabout, without neurology. Keep him in bed until the acute pain subsides and then start him on physiotherapy.

G. Savvides