Date: Sat, 14 Jun 2003 01:42:52 +0600

Subject: Osteoporotic Femur Fx

Hello All,

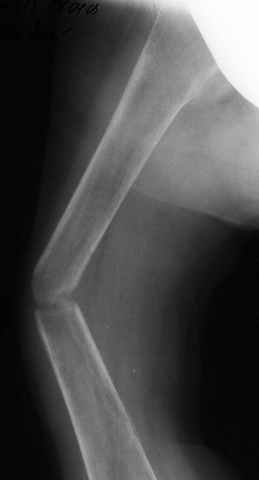
A male 23 y.o. many years sustained severe osteoporosis with multiple fractres of long bones and ribs. Last 4 years was not able to leave chair. Some x-rays attached. What may cause the situation? Juvenile osteoporosis should have been recovered spontaneously to date. What lab research is needed? What is most likely diagnosis? Can such fractures be treated more aggressively? What medications can improve bone quality? Biphosphonates? Somatotropin?

THX in advance.

Best regards,

Alexander N. Chelnokov
Ural Scientific Institute of Traumatology and Orthopaedics
str.Bankovsky, 7. Ekaterinburg 620014 Russia


Reply at: Orthopaedic Trauma Association forum