Date: Wed, 29 Jan 2003 07:16:30 -0600

Subject: Necrosis of the humeral head ?

Hello All,

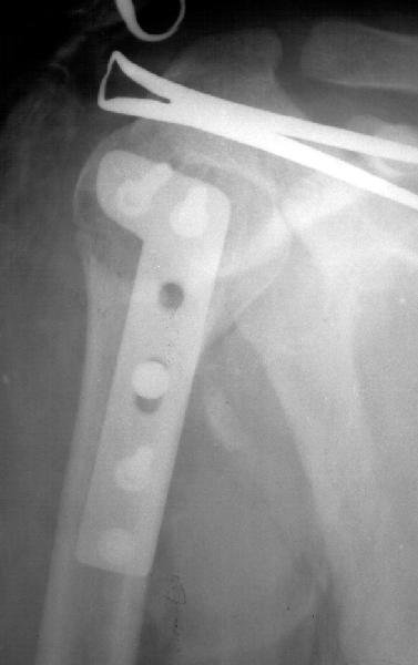
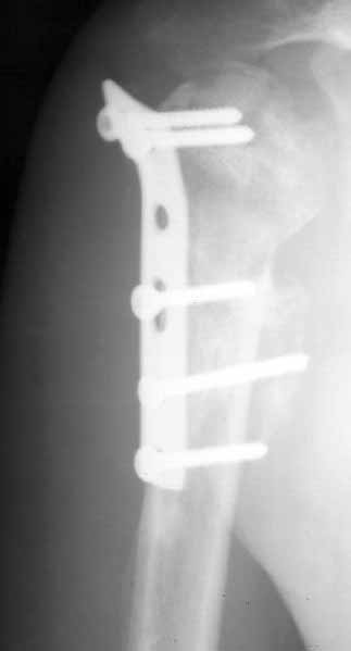
A male 25 y.o. after a car accident Aug 16, 2002 sustained a fracture of the proximal humerus (image 1), Sep 5 ORIF performed elsewhere.

Recently he referred to our physical therapist because of severe limitation of shoulder ROM. The last month he has experienced local pain, increasing with shoulder motions. Also he is disturbed by the prominent implant. Current x-rays attached (images 3,4). The head looks dissolving.

Except implant removal what should be done with the patient?

THX in advance.

Image 1
Image 2
Image 3
Image 4

THX in advance.

Best regards,

Alexander N. Chelnokov
Ural Scientific Institute of Traumatology and Orthopaedics
str.Bankovsky, 7. Ekaterinburg 620014 Russia

OTA BFC Link


Reply at: Orthopaedic Trauma Association forum

Date: Sat, 1 Feb 2003 00:05:36 +0000

From: H Mullett

The current xrays indicate failure of the implant with loosening. I would make sure there was no evidence of infection ( exam, ESR, CRP etc.) . I would agree with implant removal . I think this would be a suitable case for a circular ring fixator and compression, either a standard IIizarov or Taylor Spatial frame would be appropriate. I note from your previous cases that you have a high level of experience with this method.

All the best

Hannan Mullett
Tallaght Hospital
Dublin,Ireland.