Date: Thu, 26 Sep 2002 15:52:48 +0600

Subject: Pathologic fx of the acetabulum

Hello All,

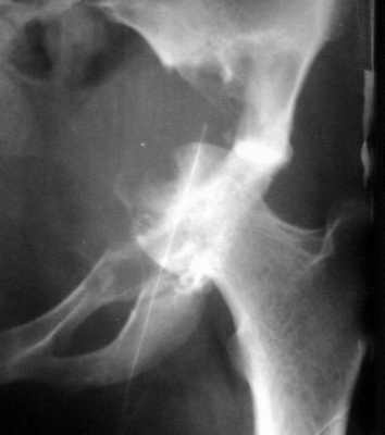
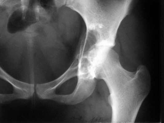
A female 22 years old admitted with the hip protrusion. Xrays are 12 months apart. Biopsy doesn't confirm malignization. What surgery can be done here? Is there any chance of primary hip replacement?

THX in advance.

Best regards,

Alexander N. Chelnokov
Ural Scientific Institute of Traumatology and Orthopaedics
str.Bankovsky, 7. Ekaterinburg 620014 Russia


Reply at: Orthopaedic Trauma Association forum

Date: Thu, 26 Sep 2002 07:38:57 -0700

From: John Ruth

I think you need to get the opinion of a musculoskeletal oncologist, but it appears that this patient has an aggressive giant cell tumor and will likely require an aggressive wide excision. As a result reconstruction will be difficult.


Date: Mon, 7 Oct 2002 02:37:20 +0600

From: Alexander Chelnokov

Hello Christian, Monday, September 30, 2002, 4:53:06 AM, you wrote:

CV> would be the best option for this woman. Another option would be a saddle prosthesis but the feeling was that a Harrington would probably offer a

A colleague of mine uploaded an article that looks very close to the subject - it is now available at:

http://weborto.net/forum/1033220012/1033623723/hemipelvicectomy.pdf

Best regards,

Alexander N. Chelnokov
Ural Scientific Institute of Traumatology and Orthopaedics
str.Bankovsky, 7. Ekaterinburg 620014 Russia